联系我们
回到顶部

有励可说丨Skathi PRO颅内血栓抽吸导管在右侧颈内动脉全段闭塞机械取栓术中的应用

发布者:励楷科技
时间:2025-09-12
收藏
已收藏

01

病史介绍

基本信息:患者女性,67岁。

主诉:突发意识模糊、左侧肢体偏瘫2小时20分钟。

现病史:患者于活动中突然出现左侧肢体活动障碍、不能言语,当时呼唤可睁眼,症状进行性加重,逐渐出现意识不清,小便失禁。

既往病史:高血压、糖尿病10余年,肥厚性心肌病、心脏瓣膜置换术后、持续性房颤、肾功能不全、心功能不全。

查体意识浅昏迷,双眼球向右侧凝视,粗测左侧肢体肌力0级,右侧肢体疼痛刺激有明确回缩,左侧巴氏征阳性,NIHSS评分28分。


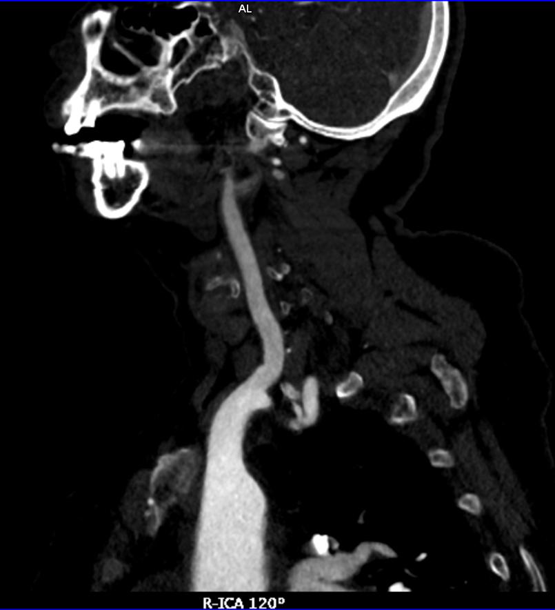
02

术前影像学检查结果

CTA

image.png  image.png


 DSA

8月25日.gif


03

手术策略制定

术前诊断:右侧颈内动脉闭塞;高血压病3级 极高危;持续性心房颤动;2型糖尿病;心脏瓣膜置换术后;肥厚型心肌病;肾功能不全;心功能不全。

手术方式右侧颈内动脉闭塞机械取栓术

手术难点分析

一、患者基础状态带来的挑战(高风险因素叠加)

1.多系统功能衰竭

1.1心功能不全(肥厚性心肌病+瓣膜置换术后+房颤):

术中需严格控制液体入量及血压波动(收缩压<180mmHg),避免心衰加重。

房颤增加取栓后栓子逃逸风险(心源性栓塞TOAST分型)。

1.2肾功能不全

限制造影剂用量(可能加重肾损伤),需精准控制造影剂总量<100ml

2.高出血风险状态

长期抗凝需求(机械瓣膜术后)与取栓术中术后抗栓治疗的矛盾:

术中肝素化需谨慎调整剂量(ACT 200-250秒),术后抗凝(低分子肝素)与抗板(替罗非班)联用增加出血转化风险(尤其术后第二天开颅去骨瓣提示严重脑水肿)。

二、血管操作的核心难点

2.1微导丝通过困难(正向失败后成袢技术)

难点:颈内动脉近端闭塞可能合并钙化或扭曲(老年+高血压+糖尿病),微导丝难以穿透坚硬血栓。

若使用成袢技术(Loop技术)虽增加通过率,但可能存在以下风险:

①血栓切割导致远端栓塞(如术后第三天CTA高密度征提示再闭塞可能)。

②血管内膜损伤诱发夹层(尤其合并动脉粥样硬化患者)。

解决方案:

采用'微导管支撑技术'(微导管抵近闭塞段提供支撑力)或'双导丝技术'辅助穿透。

2.2血栓负荷量大与再通失败风险

抽吸取栓(励楷科技Skathi PRO颅内血栓抽吸导管)联合支架取栓(ET取栓支架)仍可能残留血栓:

心源性血栓质地坚韧(房颤产生红色血栓),易出现'栓子逃逸'或'碎裂移位'。术后侧裂高密度征提示局部血栓残留或再闭塞,需警惕二次栓塞。


04

术中器械

  • 泥鳅导丝

  • 励楷科技Locaste 088长鞘

  • 励楷科技Tarvos微导丝 200cm标准版

  • 励楷科技Skathi PRO颅内血栓抽吸导管6F 125cm

  • 励楷科技Velleda 微导管0.021inch 155cm

  • ET取栓支架(ET-007-533)


05

治疗经过

Skathi PRO颅内血栓抽吸导管裸奔上到颈内动脉交通段。image.pngTarvos微导丝成袢到位后带Velleda微导管到位

图片

Velleda微导管冒烟确认真腔

图片


释放ET取栓支架后,在支架锚定下,Skathi PRO颅内血栓抽吸导管到位

图片


SWIM技术抽拉结合取栓

图片