中国企业互动平台
及新兴产业数据库

天津市胸科医院(海河院区)姜楠、赵丰、陈彤云教授团队使用WeFlow-Tbranch支架系统成功治疗一例复杂弓部病变患者

发布者:唯强医疗
时间:2025-09-29
收藏
已收藏
图片

近日,天津胸科医院(海河院区)姜楠、赵丰、陈彤云教授团队使用WeFlow-Tbranch分体式分支型胸主动脉覆膜支架系统重建LCCA完成了一例巨大主动脉弓部瘤累及LCCA患者的TEVAR治疗。

该患者主动脉弓部瘤,瘤体起始于LCCA前缘,距IA后缘4mm(小弯侧),瘤体最大处直径67mm,左椎优势。

考虑到患者巨大主动脉瘤累及LCCA,传统术式面临锚定区不足的困难,必须重建分支以提供足够的健康锚定区,且患者左椎动脉优势,除非进行转流,否则不能覆盖LSA开口。经多维度评估,姜楠、赵丰、陈彤云教授团队决定WeFlow-Tbranch分体式分支型胸主动脉覆膜支架系统重建LCCA,近端锚定在IA后缘,LSA提前进行转流而不是开窗,以尽可能保证覆膜支架对瘤体的隔绝效果。




语宇宙是如何形成的?   1.科学家认为它起源为137亿年前之间的一次难以置信的大爆炸。这是一次不可想像的能量大爆炸,宇宙边缘的光到达地球要花120亿年到150亿年的时间。大爆炸散发的物质在太空中漂游,由许多恒星组成的巨大的星系就是由这些物质构成的,我们的太阳就是这无数恒星中的一颗。原本人们想象宇宙会因引力而不在膨胀,但是,科学家已发现宇宙中有一种 “暗能量”会产生一种斥力而加速宇宙的膨胀。  2.宇宙学说认为,我们所观察到的宇宙,在其孕育的初期,集中于一个体积极小、温度极高、密度极大的奇点。在141亿年前左右,奇点产生后发生大爆炸,从此开始了我们所在的宇宙的诞生史。  3.宇宙大爆炸后0.01秒,宇宙的温度大约为1000亿度。物质存在的主要形式是电子、光子、中微子。以后,物质迅速扩散,温度迅速降低。大爆炸后1秒钟,下降到100亿度。大爆炸后14秒,温度约30亿度。35秒后,为3亿度,化学元素开始形成。温度不断下降,原子不断形成。宇宙间弥漫着气体云。他们在引力的作用下,形成恒星系统,恒星系统又经过漫长的演化,成为今天的宇宙。  宇宙是什么?宇宙有多大?宇宙年龄是多少?   宇宙是万物的总称,是时间和空间的统一。从最新的观测资料看,人们已观测到的离我们最远的星系是130亿光年。也就是说,如果有一束光以每秒30万千米的速度从该星系发出,那么要经过130亿年才能到达地球。根据大爆炸宇宙模型推算,宇宙年龄大约200亿年。宇宙有多少个星系?每个星系有多少颗恒星?   在这个以130亿光年为半径的球形空间里,目前已被人们发现和观测到的星系大约有1250亿个,而每个星系又拥有像太阳这样的恒星几百亿到几万亿颗。因此只要做一道简单的数学题,你就不难了解到,在我们已经观测到的宇宙中拥有多少星星。地球在如此浩瀚的宇宙中,真如沧海一粟,渺小得微不足道。天文学的基础知识(一) 太阳和地球的年龄?   据估计太阳的年龄比地球大1000万-2000年年,而通过放射性计年,地球的年龄是45亿年,因此太阳的年龄是45.1亿年。银河系简介 是地球和太阳所属的星系。因其主体部分投影在天球上的亮带被我国称为银河而得名。银河系呈旋涡状,有4条螺旋状的旋臂从银河系中心均匀对称地延伸出来。银河系中心和4条旋臂都是恒星密集的地方。从远处看,银河系像一个体育锻炼用的大铁饼,大铁饼的直径有10万光年,相当于946080000亿公里。中间最厚的部分约3000~12000光年。银河系整体作较差自转,太阳位于一条叫做猎户臂的旋臂上,距离银河系中心约2.5万光年。在银河系里大多数的恒星集中在一个扁球状的空间范围内,扁球的形状好像铁饼。扁球体中间突出的部分叫“核球”,半径约为7千光年。核球的中部叫“银核”,四周叫“银盘”。在银盘外面有一个更大的球形,那里星少,密度小,称为“银晕”,直径为7万光年。银河系是一个旋涡星系,具有旋涡结构,即有一个银心和两个旋臂,旋臂相距4500光年。其各部分的旋转速度和周期,因距银心的远近而不同。1971年英国天文学家林登·贝尔和马丁·内斯分析了银河系中心区的红外观测和其他性质,指出银河系中心的能源应是一个黑洞,但是由于目前对大质量的黑洞还没有结论性的证据。银河系如何运转?太阳绕银河系公转是多少年?银河系的年龄是多少?   银河系是一个巨型旋涡星系,Sb型,共有4条旋臂。包含一、二千亿颗恒星。太阳距银心约2.3万光年,以250千米/秒的速度绕银心运转,运转的周期约为2.5亿年。关于银河系的年龄,目前占主流的观点认为,银河系在宇宙诞生的大爆炸之后不久就诞生了,用这种方法计算出,我们银河系的年龄大概 在145亿岁左右,上下误差各有20多亿年。而科学界认为宇宙诞生的“大爆炸”大约发生 ...   什么叫星系?宇宙有多少个星系和恒星?   天穹上的大多数光点是银河系的恒星,但也有相当大量的发光体是与银河系类似的巨大恒星集团,历史上曾被误认为是星云,我们称它们为河外星系,现在已知道存在1000亿个以上的星系,著名的仙女星系、大小麦哲伦星云就是肉眼可见的河外星系。星系的普遍存在,表明它代表宇宙结构中的一个层次,从宇宙演化的角度看,它是比恒星更基本的层次。宇宙中有1000亿~2000亿个像银河系这样的星系。如果银河系的恒星数量以最低的2000亿(有人推算是10000亿)颗计算,由此推算出的宇宙中的恒星数量为2×1022~4×1022颗,即20万亿亿~40万亿亿颗(也有人推出800万亿亿~5000万亿亿)。银河系有多少颗恒星?银河系的质量是太阳的多少倍?宇宙有多少颗恒星?   银河系物质约90%集中在恒星内,银河系里还有气体和尘埃,其含量约占银河系总质量的10%。银河系的总质量大约是我们太阳质量的1万亿倍,大致10倍于银河系全部恒星质量的总和。银河系所有的恒星的总质量倾向于认为有7000亿个太阳质量,而据计算,1颗恒星的平均质量是太阳的质量的0.7倍,那么7000亿个太阳质量也就是意味着有10000亿颗恒星了。宇宙中太约有800亿-1250亿个星系,有着800万亿亿颗恒星,其误差是10倍左右,也有人计算是5000万亿亿颗恒星,与实际情况不会超过6倍。银河系每年诞生多少颗恒星?   银河系大约已有120亿年的历史了,在这期间共形成了大约7000亿颗恒星,即每年诞生恒星的速率是50多颗。大约是有500颗恒星是在最近1000万年间形成的,当然还有数以千计的,正在形成恒星的产星星云。  那些星系距银河系最近?   人马矮星系是最近的一个,距离约有78200光年。接下来是大麦哲伦云,距离159000光年,以及小麦哲伦云,距离189000光年。地球离银河系中心有多远?   地球离银河系中心约25000光年,误差是1600光年。  银河系有多少颗类似太阳的恒星?   银河系类似太阳相同的颜色和光度的恒星约有26348颗。  太阳系的边缘距离太阳有多远?   太阳系极远处的柯伊伯带是一个汇聚着慧核和一些大天体的盘状区域,离太阳也许有240亿公里。  什么是行星?太阳系有多少颗行星?   如何定义行星这一概念在天文学上一直是个备受争议的问题。国际天文学联合会大会 2006年8月24日通过了“行星”的新定义,这一定义包括以下三点:  1、必须是围绕恒星运转的天体;  2、质量必须足够大,它自身的吸引力必须和自转速度平衡使其呈圆球状;  3、不受到轨道周围其他物体的影响,能够清除其轨道附近的其它物体。一般来说,行星的直径必须在800公里以上,质量必须在50亿亿吨以上。  按照这一定义,目前太阳系内有8颗行星,分别是:水星、金星、地球、火星、木星、土星、天王星、海王星。太阳系行星大小的排列顺序和相对地球的比例?   1.木星1316   2.土星745   3.天王星65.2   4.海王星57.1   5.地球1   6.金星0.856   7.火星0.150   8.水星0.056   八大行星的远近排列、大小和体积的排序?   太阳系中的九大行星,按距太阳远近排列依次为水星、金星、地球、火星、木星、土星、天王星、海王星。  质量从大到小依次为:木星、土星、海王星、天王星、地球、金星、火星、水星   体积从大到小依次为:木星、土星、天王星、海王星、地球、金星、火星、水星   什么是恒星?在夜晚用人眼能看到多少颗恒星?   由炽热气体组成的,能自己发光的球状或类球状天体,恒星都是气体星球。正常恒星大气的化学组成与太阳大气差不多。按质量计算,氢最多,氦次之,其余按含量依次大致是氧、碳、氮、氖、硅、镁、铁、硫等。离地球最近的恒星是太阳。其次是处于半人马座的比邻星,它发出的光到达地球需要4.22年。晴朗无月的夜晚,且无光污染的地区,一般人用肉眼大约可以看到 6000多颗恒星。借助于望远镜,则可以看到几十万乃至几百万颗以上。  如何测恒星的质量和密度?   只有特殊的双星系统才能测出质量来,一般恒星的质量只能根据质光关系等方法进行估算。已测出的恒星质量大约介于太阳质量的百分之几到120倍之间,但大多数恒星的质量在0.1~10个太阳质量之间。恒星的密度可以根据直径和质量求出,密度的量级大约介于 10克/厘米(红超巨星)到 10~10克/厘米(中子星)之间。  什么叫光年,银河系的直径有多少光年?   长度单位,指光在真空中行走的距离,1光年=94600公里,光由太阳到达地球需时约八分钟,已知距离太阳系最近的恒星为半人马座比邻星,它相距4.22光年。我们所处的星系——银河系的直径约有七万光年,假设有一近光速的宇宙船从银河系的一端到另一端,它将需要多于十万年的时间。  什么是光?  这很有讽刺性。光就在我们周围,因为它我们才能看到东西。但是要精确的说它是什么却不容易。光可以被认为是有时具有波的性质的在时空中传播的粒子。这是因为光具有双重的性质。如果你想把它描述成波,想象一下大海中一排排的波浪。当然光波不是水组成的而是电能和磁能在空间的共同传播。我们叫做电磁波或电磁辐射。真空中光波的速度是30万千米每秒。从一个波峰到下一个波峰的距离叫波长,一秒钟内通过一个固定点的波峰叫做波的频率。  在地球上看太阳在空中的位置?   太阳从东方升起,从西方落下,这样的情况一年只有两天。问一个人早上太阳从哪儿升起,他或者她通常会回答:从东方升起。同样他或者她通常也会说:晚上太阳从西方落下。事实上,一年中只有两天,太阳是从正东方升起,从正西方落下,即春分和秋分。从春分到秋分,生活在北半球的人看到太阳从东偏北的地方升起,从西偏北的地方落下。在夏至时这种现象尤为明显,太阳从东偏北最大的方向升起,从西偏北最大的方向落下。从秋分到春分,生活在北半球的人看到太阳从东偏南的地方升起,从西偏南的地方落下。在冬至时这种现象尤为明显,太阳向南偏离得最远。生活在南半球的人看到的情形与我们正好相反。太阳的轨迹在天空中的变化是由于地球自转轴的倾斜造成的。当地球绕太阳公转时,地轴始终与轨道面保持倾斜。在夏至日的北半球,倾斜轴偏向太阳,因此太阳在天空中的轨道达到最高。六个月后,在北半球,倾斜轴偏离太阳,太阳在天空中的轨道达到最低。而在春分和秋分日,倾斜轴即不偏向太阳又不偏离太阳,所以太阳在天空中的轨道高低适中。    太阳在黄道上运动一周的过程?   太阳在黄道上运动一周的过程,就是我们经历一年的过程。正如一年中太阳的升降方向不断变化一样,每天同一时刻太阳在天空中的位置一年中也不断变化。夏至日,当太阳从东偏北最大的方向升起,从西偏北最大的方向落下,太阳在天空中走过了一年中最长,最高的轨道,因此夏至日是一年中白天最长的一天。相反,在冬至日,当太阳从东偏南最大的方向升起,从西偏南最大的方向落下,太阳在天空中走过了一年中最短,最低的轨道,因此冬至日是一年中白天最短的一天。在春分和秋分日,太阳走过了长短,高低适中的轨道,因此这两天昼、夜一样长。  为什么会日全食?   地球是除冥王星以外能看到日全食的唯一行星。我们能看到日全食完全是巧合:比太阳小400倍的月球正好比太阳离我们近约400倍,故太阳与月球在天空中看起来一样大,这为日全食创造了可能性。在太阳系,除了冥王星外,没有其它行星能看到日全食,因为这些行星的卫星不是太小,就是离行星太远,不能完全挡住太阳。因此我们看到日全食这一壮观的自然景象是自然造就的。日食能被准确的预言。我们知道地球和月球的轨道,也知道太阳的运动,我们预言日食能准确到分钟。日食有周期性,如遵循沙罗周期6585.32天,其间,共有71次各种日食发生,周而复始,但地点有所不同,每个沙罗周期有0.32天余下,这时地球又自转了117度,这可以用来修正,但不是很准确。正因为地点不同,所以尽管日食有周期,但很多人不知道,所以必须全球调查日食,而不是看一个地点的日食记录。天文学的基础知识(一) 太阳系基本概况?   1.太阳系和以太阳为中心并受其引力的支配而环绕它运动的天体系统叫太阳系。太阳系的成员包括太阳和环绕太阳的行星(如水星,金星,地球,火星,木星,土星,天王星,海王星),2000多颗轨道已确定的小行星,数量不少的卫星以及为数很多的彗星与流星体等到。太阳和它的行星是同时诞生的。他们是46亿年前一团巨大的气体和尘埃形成的。在内部,重力逐渐结束了物质的紊乱状态,在气团中心,温度逐渐上升,到达一定高温时,就形成了太阳。一些小物质团也形成了,并围绕中心转动,这就是行星及彗星、各自的卫星。在地球早期,太阳与现在有所不同。在3.5亿年前,地球上生命初开时,太阳与现在有所不同。从表面上看,太阳是浅黄色,比现在小8%到10%,亮度只有现在的70%到75%。此后太阳慢慢变大、变热、变亮,持续了3.5亿年,但比不上仅持续了一到两个世纪的“温室效应”。  2.今后50亿年,太阳仍然保持稳定。太阳以后可能会由于氢的燃烧比现在略大、略热、略亮,此后,地球会有很大变化。50亿年后,太阳的氦核越来越大,最后坍塌,燃烧成为碳元素,表层的氢继续转化为氦。氦燃烧反应产生的能量将把光球层外推,太阳变为一颗红巨星,吞并水星和金星,并到达地球轨道。太阳红色的表面依然,但会越来越冷。地球仍会被太阳的热量熔化。  3.太阳系中的九大行星,按距太阳远近排列依次为水星、金星、地球、火星、木星、土星、天王星、海王星和冥王星。它们到太阳的平均距离符合提丢斯-波得定则。按性质不同可分为三类:类地行星(水星、金星、地球、火星)体积和质量较小,平均密度最大,卫星少;巨行星(木星、土星)体积和质量最大,平均密度最小,卫星多,有行星环,自身能发出红外辐射;远日行星(天王星、海王星、冥王星)的体积、质量、平均密度和卫星数目都介于前两者之间,天王星和海王星也存在行星环。九大行星都在接近同一平面的近圆形的椭圆轨道上,朝同一方向绕太阳公转,即行星的轨道运动具有共面性、近圆性和同向性,只有水星和冥王星稍有偏离。太阳的自转方向也与行星的公转方向相同。地球、火星、木星、土星、天王星和海王星的自转周期都在10-24小时左右,但水星、金星和冥王星的自转周期分别为58.6天、243天和6.4天。多数大行星的自转方向与公转方向相同,但金星则相反,而天王星的自转轴与轨道面的交角很小,呈侧向自转。除水星和金星外,其他大行星都有自己的卫星。  太阳的基本概况?   1.太阳的体积是地球的130.25万倍,太阳系的中心天体。银河系的一颗普通恒星。太阳的直径约1392000千米,平均密度 1.409克/立方厘米,质量1.989×10^33克,表面温度5770℃,中心温度1500.84万℃。由里向外分别为太阳核反应区、太阳对流层、太阳大气层。其中心区不停地进行热核反应,所产生的能量以辐射方式向宇宙空间发射。其中二十二亿分之一的能量辐射到地球,成为地球上光和热的主要来源。太阳内部漆黑一片,虽然体太阳光十分耀眼,但它内部却不能产生光。因为太阳内部核反应产生的能量太高,是由伽马射线的形式传向外部,但人眼看不到伽马射线。所以如果我们能看到太阳内部,那将会是一片黑暗。恒星也有自己的生命史,太阳这个巨大的'核能火炉'已经稳定地'燃烧'了50亿年.目前.它正处于壮年,要再过50亿年它才会燃尽自己的核燃料.那时,它可能膨胀成一个巨大的红色星体...   2.其实,太阳只是一颗非常普通的恒星,在广袤浩瀚的繁星世界里,太阳的亮度、大小和物质密度都处于中等水平。只是因为它离地球最近,所以看上去是天空中最大最亮的天体。其它恒星离我们都非常遥远,即使是最近的恒星,也比太阳远27万倍,看上去只是一个闪烁的光点。在银河系内一千多亿颗恒星中,太阳只是普通的一员,它位于银河系的对称平面附近,距离银河系中心约26000光年,在银道面以北约26光年, 它一方面绕着银心以每秒250公里的速度旋转,另一方面又相对于周围恒星以每秒19.7公里的速度朝着织女星附近方向运动。太阳上的“一天”时间不一样。与地球一样,太阳也有自转,但跟地球不同的是太阳不是固体,因此不同的纬度转速不一样,在太阳赤道,转一圈要25个地球日。纬度越高,转速越慢,在靠近两极的地方,转一圈要约31个地球日。在地球上,在你南面的地点无论多久都在你的南面,但在太阳上,这不成立。越靠近赤道,转的越快,就会滑向东边。这是流体的情形   3.我们见到的太阳的表面实际并不是一个面。在我们看来,太阳似乎有一个固体的表面,并且有一个可测的边界。真实情况是:太阳是一个由气体组成的球体,没有固体的表面。我们看到的边界,只是由于在那儿,太阳气体的密度下降到使光透明的程度。在这个密度之上,太阳是不透明的,因此我们看不到太阳内部。虽然我们现在了解到这些,但天文学家仍然把这一不透明的边界当作太阳的“表面”,称作光球层。  4.光球表面另一种著名的活动现象便是太阳黑子。黑子是光球层上的巨大气流旋涡,大多呈现近椭圆形,在明亮的光球背景反衬下显得比较暗黑,但实际上它们的温度高达4000℃左右,倘若能把黑子单独取出,一个大黑子便可以发出相当于满月的光芒。  5.太阳的年龄约为46亿年,它还可以继续燃烧约50亿年。在其存在的最后阶段,太阳中的氦将转变成重元素,太阳的体积也将开始不断膨胀,直至将地球吞没。在经过一亿年的红巨星阶段后,太阳将突然坍缩成一颗白矮星--所有恒星存在的最后阶段。再经历几万亿年,它将最终完全冷却,然后慢慢地消失在黑暗里。  6.通过对太阳光谱的分析,得知太阳的化学成分与地球几乎相同,只是比例有所差异。太阳上最丰富的元素是氢,其次是氦,还有碳、氮、氧和各种金属。地球上除原子能和火山、地震以外,太阳能是一切能量的总源泉。那么,整个地球接收的有多少呢?太阳发射出大的能量呢?科学家们设想在地球大气层外放一个测量太阳总辐射能量的仪器,在每平方厘米的面积上,每分钟接收的太阳总辐射能量为8.24焦。这个数值叫太阳常数。如果将太阳常数乘上以日地平均距离作半径的球面面积,这就得到太阳在每分钟发出的总能量,这个能量约为每分钟2.273×10^28焦。(太阳每秒辐射到太空的热量相当于一亿亿吨煤炭完全燃烧产生热量的总和,相当于一个具有5200万亿亿马力的发动机的功率。太阳表面每平方米面积就相当于一个85000马力的动力站。)而地球上仅接收到这些能量的22亿分之一。太阳每年送给地球的能量相当于100亿亿度电的能量。太阳能取之不尽,用之不竭,又无污染,是最理想的能源。  7.太阳表面经常发生强烈的爆炸。这种爆炸就是我们看到的耀斑,能在短短几秒内释放出上百万颗原子弹的能量。当耀斑发生时,太阳的大气层会被吹出一个巨大的洞,并发出十分强烈的光、电磁波,高能X射线及数以百亿计的带电粒子,这种现象被称作太阳风。当太阳黑子最活跃时,耀斑和太阳风也发生的最频繁最剧烈。  8.太阳像是空间的一块巨大的磁铁。与地球类似,太阳内部好像有一个巨大的磁铁,这磁铁产生了巨大的磁场,在太空中绵延数亿英里,并控制周围热气体的流动。每隔11年,在黑子活动周期的开端,磁场南北极会颠倒一次,而太阳自转轴保持不变。天文学的基础知识(一) 地球的基本概况?  1.年龄:46亿岁。公转周期:约365天。公转轨道:呈椭圆形。7月初为远日点,1月初为近日点。自转周期:恒星日:约23.小时56分4秒。太阳日:24小时。自转方向:自西向东。黄赤交角:23°26。赤道半径:是从地心到赤道的距离,大约6378.5公里。平均半径:大约6371.3 公里(这个数字是地心到地球表面所有各点距离的平均值)。体积:10832亿立方千米。质量:5.9742×10^21 吨。平均密度:5.515 g/cm^3,地球是太阳系中密度最大的星体。地球表面积:5.1亿平方千米。海洋面积:3.61亿平方千米。大气:主要成份:氮(78.5%)和氧(21.5%)。地壳:主要成份:氧(47%)、硅(28%)和铝(8%)。表面大气压:1013.250毫巴。由化学组成成分及地震震测特性来看,地球本体可以分成一些层圈,以下就标示出它们的名称与范围(深度,单位为公里):0- 40地壳,40-2890地幔,2890-5150外地核,5150-6378内地核。地球表面积71%为水所覆盖,地球是太阳系唯一在表面可以拥有液态水的行星 ( 土卫六的表面有液态乙烷或甲烷,而藏于木卫二的表面之下则可能有液态水,不过地球表面有液态水仍是独一无二的)。天文学的基础知识(二) 2.地球距离太阳1.5亿千米,从地球到太阳上去步行要走3500多年,就是坐飞机,也要坐20多年。地球属于银河系太阳系,处在金星与火星之间,是太阳系中距离太阳第三近的行星,在八大行星中大小排行是第五,但人类直到16世纪哥白尼时代人们才明白地球只是一颗行星。地球与月球之间的引潮力会使地球的自转周期每一世纪增加约2毫秒,最新研究显示在9亿年前一天只有18小时,而一年则有481天。地球卫星月球俗称月亮,也称太阴。在太阳系中是地球中唯一的天然卫星。月球是最明显的天然卫星的例子。在太阳系里,除水星和金星外都有自己的卫星。  3.地球绕地轴的旋转运动,叫做地球的自转。地轴的空间位置基本上是稳定的。它的北端始终指向北极星附近,地球自转的方向是自西向东;从北极上空看,呈逆时针方向旋转。地球自转一周的时间,约为23小时56分,这个时间称为恒星日;然而在地球上,我们感受到的一天是24小时,这是因为我们选取的参照物是太阳。由于地球自转的同时也在公转,这4分钟的差距正是地球自转和公转叠加的结果。天文学上把我们感受到的这1天的24小时称为太阳日。地球自转产生了昼夜更替。昼夜更替使地球表面的温度不至太高或太低,适合人类生存。  月球基本概况?   1.它每年以三厘米的速度远离地球,十亿年前,它和地球的距离只有现在的一半长。像地球一样,月球也是南北极稍扁,赤道稍隆起的扁球。它的平均极半径比赤道半径短500米,南北极也不对称,北极区隆起,南极区凹陷约400米。月球基本上没有水,也就没有地球上的风化、氧化和水的腐蚀过程,也没有声音的传播,到处是一片寂静的世界。月球本身不发光,天空永远是一片漆黑,太阳和星星可以同时出现。  2.月球上几乎没有大气,因而月球上的昼夜温差很大。白天,在阳光垂直照射的地方,温度高达127.25℃;夜晚温度可低到-183.75℃。由于没有大气的阻隔,使得月面上日光强度比地球上约强1/3左右;紫外线强度也比地球表面强得多。由于月球大气少,因此在月面上会见到许多奇特的现象,如月球上的天空呈暗黑色,太阳光照射是笔直的,日光照到的地方很明亮;照不到的地方就很暗。因此才会看到的月亮表面有明有暗。由于没有空气散射光线,在月球上星星看起来也不再闪烁了。    3.月亮比地球小,直径是3476公里,大约等于地球直径的3/11。月亮的表面面积大约是地球表面积的1/14,比亚洲的面积还稍小一些;它的体积是地球的1/49,换句话说,地球里面可装下49个月亮。月亮的质量是地球的1/81;物质的平均密度为每立方厘米3.34克,只相当于地球密度的3/5。月球上的引力只有地球1/6,也就是说,6公斤重的东西到限月球上只有1公斤重了。人在月面上走,身体显得很轻松,稍稍一使劲就可以跳起来,宇航员认为在月面上半跳半跑地走,似乎比在地球上步行更痛快。天文学的基础知识(二) 4.月球是离地球最近的天体,它是围绕地球运转的、唯一的天然卫星,它与地球的平均距离约384400公里。月球绕地球运动的轨道是一个随圆形轨道,其近地点(离地球最近时)平均距离为363300公里,远地点(离地球最远时)平均距离为405500公里,相差42200公里。  5.月球在绕地球运动的过程中,还要跟着地球一起绕太阳运动。这就是说,月球绕地球运动一周后,再回到的空间位置已不是原出发点了。由此可见,月球在运动过程中还要参与多种系统的运动。月球的运动和其他天体一样,月球也处于永恒的运动之中。月球除东升西落外,它每天还相对于恒星自西向东平均移动13°多,因此,月亮每天升起来的时间,都比前一天约迟50分钟。月亮的东升西落是地球自转的反映;而自西向东的移动却是月亮围绕地球公转的结果。月亮绕地球公转一周叫做一个“恒星月”,平均是27天7小时43分11秒。月亮绕地球公转的同时,它本身也在自转。既然月亮自转一周是地球上的27.3天,为什么月亮上的一天等于地球上29天半的时间呢?原来月亮一面自转,一面还要围绕地球公转,而地球同时也在围绕太阳公转。当月亮转了一周以后,地球也在绕太阳公转的轨道上走了一段距离,因此月亮原来正对太阳的一点,还没有正对着太阳,必须再转过一个角度,才能正对太阳,这段时间要用2.25天。把27.3天加上2.25天,正好大约29天半的时间。  6.月亮的自转周期和公转周期是相等的,即1:1,月球绕地球一周的时间为也就是它自转的周期。月球这种奇特地自转结果是:月球总以同一半面向着地球,而从地球上永远看不到月球背面是什么样,只有靠探测器才能揭开月背千古之谜,人类的这个愿望早在30多年前就已实现了。当今大型天文望远镜能分辩出月面上约 50米(相当于14层高楼)的目标。  7.大家知道,月亮本身不发光,只是把照射在它上面的太阳光的一部分反射出来,这样,对于地球上的观测者来说,随着太阳、月亮、地球相对位置的变化,在不同日期里月亮呈现出不同的形状,这就是月相的周期变化。进一步说,虽然月亮被太阳照射时,总有半个球面是亮的,但由于月亮在不停地绕地球公转,时时改变着自己的位置,所以它正对着地球的半个球面与被太阳照亮的半个球面有时完全重合,有时完全不重合,有时一小部分重合,有时一大部分重合,这样月亮就表现出了阴晴圆缺的变化。水星基本概况?    1.水星在八大行星中是最小的行星,比月球大1/3,它同时也是最靠近太阳的行星。水星目视星等范围从 0.4 到 5.5;水星太接近太阳,常常被猛烈的阳光淹没,它的轨道距太阳4590万~6970万千米之间,所以望远镜很少能够仔细观察它。水星没有自然卫星。水星离太阳的平均距离为5790万公里,绕太阳公转轨道的偏心率为0.206,故其轨道很扁。太阳系天体中,除冥王星外,要算水星的轨道最扁了。水星在轨道上的平均运动速度为48公里/秒,是太阳系中运动最快的行星,绕太阳一周只需88天,自转一周只需58.6天,水星上的一天相当于地球上的59天。水星有一个小型磁场,磁场强度约为地球的1%。水星只有微量的大气。水星的大气极其稀薄。实际上,水星大气中的气体分子与水星表面相撞的频密程度比它们之间互相相撞要高。出于这些原因,水星应被视为是没有大气的。“大气”主要由氧,钾和钠组成。  2.早在公元前3000年的苏美尔时代,人们便发现了水星,古希腊人赋于它两个名字:当它初现于清晨时称为阿波罗,当它闪烁于夜空时称为赫耳墨斯。水星上的温差是整个太阳系中最大的,温度变化的范围为90开到700开,最高地表温度 634.5°C 最低地表温度为-86°C ,平均地表温度 179°C 。相比之下,金星的温度略高些,但更为稳定。水星的密度比月球大得多,(水星 5.43 克/立方厘米 月球 3.34克/立方厘米)。水星是太阳系中仅次于地球,密度第二大的天体。  金星基本概况?   1.按离太阳由近及远的次序是第二颗。它是离地球最近的行星。中国古代称之为太白或太白金星。它有时是晨星,黎明前出现在东方天空,被称为“启明”;有时是昏星,黄昏后出现在西方天空,被称为“长庚”。金星是全天中除太阳和月亮外最亮的星,亮度最大时为-4.4等,比著名的天狼星(除太阳外全天最亮的恒星)还要亮14倍,犹如一颗耀眼的钻石,于是古希腊人称它为阿佛洛狄忒(Aphrodite)——爱与美的女神,而罗马人则称它为维纳斯(Venus)——美神。1950年代后期,天文学家用射电望远镜第一次观测了金星的表面。从1961年起,前苏联和美国向金星发射了30多个探测器,从近距离观测,到着陆探测。  2.金星和水星一样,是太阳系中仅有的两个没有天然卫星的大行星。因此金星上的夜空中没有“月亮”,最亮的“星星”是地球。由于离太阳比较近,所以在金星上看太阳,太阳的大小比地球上看到的大1.5倍。有人称金星是地球的孪生姐妹,确实,从结构上看,金星和地球有不少相似之处。金星的半径约为6073公里,只比地球半径小300公里,体积是地球的0.88倍,质量为地球的4/5;平均密度略小于地球。但两者的环境却有天壤之别:金星的表面温度很高,不存在液态水,加上极高的大气压力和严重缺氧等残酷的自然条件,金星不可能有任何生命存在。因此,金星和地球只是一对“貌合神离”的姐妹。  3.金星表面温度高达465至485度,是因为金星上强烈的温室效应,原因在于金星的大气密度是地球大气的100倍,且大气97%以上是“保温气体”——二氧化碳;同时,金星大气中还有一层厚达20~30千米的由浓硫酸组成的浓云。二氧化碳和浓云只许太阳光通过,却不让热量透过云层散发到宇宙空间,所以昼夜温差并不大。金星环境复杂多变,天空是橙黄色,经常下硫酸雨,一次闪电竟然持续15分钟!。金星的大气压强非常大,为地球的90倍,相当于地球海洋中1千米深度时的压强。金星本身的磁场与太阳系的其它行星相比是非常弱的。这可能是因为金星的自转不够快,其地核的液态铁因切割磁感线而产生的磁场较弱造成的。这样一来,太阳风就可以毫无缓冲地撞击金星上层大气。最早的时候,人们认为金星和地球的水在量上相当,然而,太阳风的攻击已经让金星上层大气的水蒸气分解为氢和氧。氢原子因为质量小逃逸到了太空。金星地表没有水,空气中也没有水份存在,其云层的主要成分是硫酸,而且较地球云层的高度高得多。金星上可谓火山密布,是太阳系中拥有火山数量最多的行星。业已发现的大型火山和火山特征有1600多处。此外,还有无数的小火山,没有人计算过它们的数量,估计总数超过10万,甚至100万。由于大气高压,金星上的风速也相应缓慢。这就是说,金星地表既不会受到风的影响也没有雨水的冲刷。因此,金星的火山特征能够清晰地保持很长一段时间。  4.金星的自转很特别,是太阳系内唯一逆向自转的大行星,自转方向与其它行星相反,是自东向西。因此,在金星上看,太阳是西升东落。金星绕太阳公转的轨道是一个很接近正圆的椭圆形,且与黄道面接近重合,其公转速度约为每秒35公里,公转周期约为224.70天。但其自转周期却为243日,也就是说,金星的自转恒星日一天比一年还长。不过按照地球标准,以一次日出到下一次日出算一天的话,则金星上的一天要远远小于243天。这是因为金星是逆向自转的缘故;在金星上看日出是在西方,日落在东方;一个日出到下一个日出的昼夜交替只是地球上的116.75天。金星历法是一种以金星的周期活动为标准的历法规则。然而,金星历法并不是甚么科幻小说的作品,而是切切实实曾在古代玛雅文明出现过的历法系统。基于一种我们不知道的原因,玛雅人同时采用两套历法系统,而其中一套历法系统就是基于金星的周期运转而制成。天文学的基础知识(二)5.金星就是最漂亮,最常见的启明星和长庚星。因为金星的公转轨道在地球轨道的内侧,从地球上看起来,金星在太阳的两侧摇摆。因此,金星日落后在西南天空待一两个小时,然后又在日出前跑到东方的天空呆上几个小时。在那些时间里,除了太阳和月亮外,金星也可以成为天空中最亮的物体,闪耀着紫色的柔光。  6.相比太阳系中的其他行星,金星与地球走得要更近些。金星是太阳系由内到外数的第二颗行星,它那近似圆形的公转轨道距太阳表面有6700万公里。大概每十九个半月金星从地球旁边经过一次,这是它与地球的距离只有2600万公里。而地球另一侧的火星,距地球最近则有3500公里。所以说,金星是与地球走得最近的行星。  7.很长时间来,金星被称作地球的“姊妹星”。金星的直径仅仅比地球的直径小408公里。加上金星的公转轨道与地球很相近的事实,使得人们有理由相信金星不太可能与地球的构造有很大差异。早期的科幻小说家幻想着金星上充满了水,然后演化成一个由恐龙统治的混乱的世界,然后到有高级工们居住的星球。但是当科学数据积累后,科学家知道,这两个星球的共同点只有那差不多大小的尺寸而已。  火星基本概况?   1.为距太阳第四远,也是太阳系中第七大行星。火星(希腊语:阿瑞斯,ares)被称为战神,这或许是由于它鲜红的颜色而得来的;火星有时被称为“红色行星”,古代中国称之为荧惑。火星的直径相当于地球的半径,表面积只有地球的四分之一,直径为6786千米,每24.62小时自转一周,火星公转一周约为687天,火星的一年约等于地球的两年。火星在史前时代就已经为人类所知。由于它被认为是太阳系中人类最好的住所(除地球外),它受到科幻小说家们的喜爱。  2.火星上曾有过洪水,地面上也有一些小河道(右图),十分清楚地证明了许多地方曾受到侵蚀。在过去,火星表面存在过干净的水,甚至可能有过大湖和海洋。但是这些东西看来只存在很短的时间,而且据估计距今也有大约四十亿年了。在火星的早期,它与地球十分相似。像地球一样,火星上几乎所有的二氧化碳都被转化为含碳的岩石。火星的那层薄薄的大气主要是由余留下的二氧化碳(95.3%)加上氮气(2.7%)、氩气(1.6%)和微量的氧气(0.15%)和水汽(0.03%)组成的。火星表面的平均大气压强仅为大约7毫巴(比地球上的1%还小),但它随着高度的变化而变化,在盆地的最深处可高达9毫巴。火星有两个小型的近地面卫星。  3.火星上的火山高度比金星和地球上火山高度低,主要是因为火星上的重力要弱些。火山的高度主要是受它所在星球的重力决定的。这是因为火山的高度是受它支持自己重量的能力决定的。金星和地球的大小和质量相似,所以它们上的火山高度相当。火山上的重力只有地球的38%,所以它上面的火山高度有2.5倍地球上的高。关于“火星上的脸”。两艘“海盗”号飞船(“海盗1”和“海盗2”)传回来的成千上万张照片中有一幅非常引人注意的有趣照片,那是一个非常象人脸的岩石照片。不幸的是,这张照片被许多伪科学者利用大造声势。这件事的解释也很简单,这只是一个巧合。天文学的基础知识(二)木星基本概况?   1.木星古称岁星,是离太阳远近的第五颗行星,而且是八大行星中最大的一颗,比所有其他的行星的合质量大2倍(地球的318倍)。木星直径是142,984 千米,体积只有太阳的千分之一,距太阳大约为7.8亿公里。,绕太阳公转的周期4332.5天,约合11.86年。木星(a.k.a. Jove)希腊人称之为 宙斯(众神之王,奥林匹斯山的统治者和罗马国的保护人,它是Cronus(土星)的儿子。  2.木星是天空中第四亮的物体(次于太阳,月球和金星;有时候火星更亮一些),早在史前木星就已被人类所知晓,伽利略1610年对木星四颗卫星(现常被称作伽利略卫星)进行观察。我们得到的有关木星内部结构的资料(及其他气态行星)来源很不直接,并有了很长时间的停滞,(来自伽利略号的木星大气数据只探测到了云层下150千米处),“先驱者11号”于1974年12月飞掠木星时,测得的木星表面温度为零下148摄氏度,木星由90%的氢和10%的氦(原子数之比, 75/25%的质量比)及微量的甲烷、水、氨水和“石头”组成。这与形成整个太阳系的原始的太阳系星云的组成十分相似。土星有一个类似的组成,但天王星与海王星的组成中,氢和氦的量就少一些了。气态行星没有实体表面,它们的气态物质密度只是由深度的变大而不断加大(我们从它们表面相当于1个大气压处开始算它们的半径和直径)。我们所看到的通常是大气中云层的顶端,压强比1个大气压略高。木星可能有一个石质的内核,相当于10-15个地球的质量。  3.宇宙飞船发回的考察结果表明,木星有较强的磁场,表面磁场强度达3~14高斯,比地球表面磁场强得多(地球表面磁场强度只有0.3~0.8高斯)。木星磁场和地球的一样,是偶极的,磁轴和自转轴之间有 10°8′的倾角。木星的正磁极指的不是北极,而是南极,这与地球的情况正好相反。木星的四个大卫星都被木星的磁层所屏蔽,使之免遭太阳风的袭击。  4.木星有一个同土星般的环,不过又小又微弱,它们由许多粒状的岩石质材料组成。在宇宙飞船探测木星之前,人们知道木星有13颗卫星。科学家们从“旅行者2号”发回的照片上又发现了3颗,共有16颗木卫(可能有无数卫星,最新数量61颗)。其中靠近内侧的地方有4颗特别大是伽利略卫星,(伽利略卫星即木卫一、木卫二、木卫三和木卫四分别叫伊奥、欧罗巴 、加尼美德、卡利斯托)。按距离木星中心由近及远的次序为:木卫十六、木卫十四、木卫五、木卫十五、木卫一、木卫二、木卫三、木卫四。它们都围绕着木星公转,离木星最远的木卫九与木星的距离比地球和月亮的距离远60倍,它绕木星公转一周需要758天。木星的大小与卫星差异之大。除了欧罗巴以外,每颗伽利略卫星都比月球大,加尼美德的半径大约为2600公里,是太阳系中所有卫星中最大的一个,甚至比九大行星中的水星还要大。伊奥的大小和月球差不多,却拥有众多的活火山,地壳运动频繁。  5.从化学组成上来讲,木星更像太阳。虽然木星也和地球一样有铁核,可是它的85%是氢元素,其余15%主要是氦元素。其它元素只占1%。这是因为木星有强重力场,它保持了太阳系刚形成时期的大气组成。而地球的较弱的重力让它失去了大多数的原初元素。天文学的基础知识(二)6.木星上的云五彩斑斓。和地球上只有白色的云不一样,木星上的云五颜六色。这主要是因为木星大气中复杂的化合物造成的  7.木星会变成恒星吗?木星如果想变成一颗恒星,它的核心温度必须达到100万度,这才足以点燃热核反应(氢聚变成氦的反应),释放出巨大的能量。而要达到那么高的核心温度,木星的质量至少要比现在大100倍,而它没法从其他地方获得这么大的质量,所以它不可能成为一颗恒星。  土星基本概况?   1.土星古称镇星或填星,轨道距太阳14亿公里。土星直径119300公里(为地球的9.5倍),是太阳系第二大行星,公转周期相当于29.5个地球年,土星的自转很快是9.6公里/秒,仅次于木星。另外,英文的星期六(Saturday)也是以土星的英文名(Saturn)来命名的。在太阳系的行星中,土星的光环最惹人注目,它使土星看上去就像戴着一顶漂亮的大草帽,是最美丽的行星。土星环位于土星的赤道面上。在空间探测以前,从地面观测得知土星环有五个,其中包括三个主环(A环、B环、C环)和两个暗环(D环、E环)。土星光环中间有一条暗缝,后称卡西尼环缝。观测表明构成光环的物质是碎冰块、岩石块、尘埃、颗粒等,它们排列成一系列的圆圈,绕着土星旋转。它与邻居木星十分相像,表面也是液态氢和氦的海洋,上方同样覆盖着厚厚的云层。土星上狂风肆虐,沿东西方向的风速可超过每小时1600公里。土星上空的云层就是这些狂风造成的,云层中含有大量的结晶氨。土星还是太阳系中卫星数目最多的一颗行星,目前已发现的土星卫星就已经超过了60颗。土星卫星的形态各种各样,五花八门,使天文学家们对它们产生了极大的兴趣。最著名的“土卫六”上有大气,是目前发现的太阳系卫星中,唯一有大气存在的天体,土卫六与土星的平均距离为122万公里,沿着近乎正圆形的轨道绕土星运动。它像月球一样,总以同一面向着自己的行星——土星。也就是说,如果在土星上看土卫六的话,永远只能看到土卫六的同一个半面。它的轨道基本上在土星赤道面内。你可以想一想,土卫六这么大的天体,沿着大约122万公里的半径,居然运动在近乎正圆的轨道上,这真是有点难以想象的事。如果让我们专门画这样一个圆,恐怕也是不容易办到的。足见天体演化中的自然奇观。天文学的基础知识(二)2.土星大气以氢、氦为主,并含有甲烷和其他气体,大气中飘浮着由稠密的氨晶体组成的云。根据红外观测得知,云顶温度为-170℃,比木星低50℃。土星表面的温度约为-140℃,支顶温度为-180℃,比木星低50℃。在太阳系的行星中,土星的质量和大小仅次于木星。土星的平均密度是太阳系诸行星里最小的,平均密度为0.69(少于水的密度),这是因为土星核心的密度虽然要比水大一些,但有着高气体比例、低密度的大气层。由于土星的密度太小,其表面重力加速度和地球差不多 (为地球的1.07)。天文学的基础知识(二) 天王星基本概况?   1.天王星是从太阳向外的第七颗行星,在太阳系的体积是第三大(比海王星大),质量排名第四(比海王星轻),表面积相当于15.91 个地球表面积,质量等于14.536 个地球,自转周期17时 14分24秒,轴倾斜97.77°,远日点距离约30亿公里,近日点距离约27亿公里,轨道周期84.323326 年,阳光的强度只有地球的1/400。他的名称来自古希腊神话中的天空之神尤拉纳斯(Ο?ραν??),是克洛诺斯(农神)的父亲,宙斯(朱比特)的祖父。天王星在被发现是行星之前,已经被观测了很多次,但都把它当作恒星看待。最早的纪录可以追溯至1690年,约翰·佛兰斯蒂德在星表中将他编为金牛座34,并且至少观测了6次。天王星是第一颗在现代发现的行星,虽然他的光度与五颗传统行星一样,亮度是肉眼可见的,但由于较为黯淡而未被古代的观测者发现。威廉·赫歇耳爵士在1781年3月13日宣布他的发现,在太阳系的现代史上首度扩展了已知的界限。这也是第一颗使用望远镜发现的行星。目前已知天王星有27颗天然的卫星。  2.天王星和海王星的内部和大气构成不同于更巨大的气体巨星--木星和土星。同样的,天文学家设立了不同的冰巨星分类来安置她们。天王星大气的主要成分是氢和氦,还包含较高比例的由水、氨、甲烷结成的“冰”,与可以察觉到的碳氢化合物。他是太阳系内温度最低的行星,最低的温度只有49K,还有复合体组成的云层结构,水在最低的云层内,而甲烷组成最高处的云层。根据旅行者2号的探测结果,科学家推测天王星上可能有一个深度达10000公里、温度高达摄氏6650度,由水、硅、镁、含氮分子、碳氢化合物及离子化物质组成的液态海洋。由于天王星上巨大而沉重的大气压力,令分子紧靠在一起,使得这高温海洋未能沸腾及蒸发。反过来,正由于海洋的高温,恰好阻挡了高压的大气将海洋压成固态。天文学的基础知识(三)3.如同其他的大行星,天王星也有环系统、磁层和许多卫星。天王星的系统在行星中非常独特,因为它的自转轴斜向一边,几乎就躺在公转太阳的轨道平面上,因而南极和北极也躺在其他行星的赤道位置上。当天王星在至日附近时,一个极点会持续的指向太阳,另一个极点则背向太阳,每一个极都会有被太阳持续的照射42年的极昼,而在另外42年则处于极夜。天王星有一个暗淡的行星环系统,由直径约十米的黑暗粒状物组成。他是继土星环之后,在太阳系内发现的第二个环系统。目前已知天王星环有13个圆环,其中最明亮的是ε环。  海王星基本都很小。最早发现的“谷神星”(Ceres 1)、“智神星”(Pallas 2)、“婚神星”(Juno 3) 和“灶神星”(Vesta 4)是小行星中最大的四颗,被称为“四大金刚”。“四大金刚”中最大的谷神星直径约为1000千米,最小的婚神星直径约为200多千米;如果能把它们从天上“请”到地球上来,中国的青海省刚好可以让谷神星安家。除去“四大金刚”外,其余的小行星就更小了,据估计,最小的小行星直径还不足1千米。虽然它们的体积比卫星还小得多,但是在太阳系这个家庭中,却要和九大行星论资排辈。  4.大多数小行星是一些形状很不规则、表面粗糙、结构较松的石块,表层有含水矿物。它们的质量很小,按照天文学家的估计,所有小行星加在一起的质量也只有地球质量的4/10000。这些小行星和它们的大行星同伴一起,一面自转,一面自西向东地围绕太阳公转。尽管拥挤,却秩序井然,有时它们巨大的邻居--木星的引力会把一些小行星拉出原先的轨道,迫使它们走上一条新的漫游道路。在近年对小行星观测中,还发现一个有趣的现象,有些小行星竟然也有自己的卫星。  四大小行星是哪四个?它们的基本概况?   1.据统计,太阳系中约有50万颗小行星和八大行星一样绕着太阳公转,目前已登记在册的超过8000颗。它们大多体积很小,最早发现的四大小行星(谷神星(Ceres)、智神星(Pallas)、婚神星(Juno)和灶神星(Vesta))中,谷神星是最大的一颗,通常被称作『伟大的母亲』。这种称呼,就是来自那些遥远的罗马神话。  2.谷神星(1 Ceres)又称榖神星,是火星与木星之间的小行星带中,人们最早发现的第一颗小行星,由意大利人皮亚齐于1801年1月1日发现。其平均直径为952公里,等于月球直径的1/4,质量约为月球的1/50,又被称为1号小行星。是小行星带中最大最重的天体。有趣的事,很多国际上的环保主题网站,都采用谷神星的标志来表示自己环保的决心。  3.婚神星是处在火星跟木星的小行星带之间,它在数千万小行星里面体积第四大,直径240公里长。  4.智神星(2 Pallas)是第二颗被发现的小行星,由德国天文学家奥伯斯于1802年3月28日发现。其平均直径为520千米。该天体以希腊神话中海神波赛冬的孙女Pallas Athena(即雅典娜的别称)来命名。  5.灶神星,又称第4号小行星,是德国天文学家奥伯斯于1807年3月29日发现的。灶神星是第二大的小行星,仅次于谷神星。天文学的基础知识(三)什么是近地小行星?   近“地”指接近地球,批的是那些轨道与地球轨道相交的小行星。这类小行星可能会带来撞击地球的危险。同时,它们也是相对容易使用地頢发射太空梭访问的。事实上,访问近地小行星所需的delta-v比访问月球还小。NASA的近地小行星约会探测器已经访问过这些小行星中最著名的小行星433 号(爱神星)。目前已知的大小4千米的近地小行星已有数百个。可能还存在成千上万个直径大于1千米的近地小行星数量估计超过2000个。天文学家相信已经在它们的轨道上运行了1000万至1亿年。它们要最终与内行星碰撞要么就是在接近行星时被弹出太阳系。  什么是特洛依小行星?   特洛依小行星指的是与木星有着相同的轨道,在木星轨道前后60°的拉格朗日点附近一片拉长的扁平区域,半长轴在5.05AU至5.40AU的小行星, 现在它的概念已经不单单限于木星了.而的泛指有着相似关系的天体。  什么是天狼星?   天狼星冬季夜空里最亮的恒星,属一等星,目视星等为-1.45等,绝对星等为+1.3等。它在天球上的坐标是赤经06h 45m 08.9173s赤纬-16°42\'58.017'(历元2000.0)。它是大犬座中的一颗双星。双星中的亮子星是一颗比太阳亮23倍的蓝白星,体积略大于太阳,直径是太阳的1.7倍,表面温度是太阳表面温度的2倍,高达10000℃。它距太阳系约8.6光年,只有除太阳以外最近恒星距离的两倍。古代埃及人认识到若该星偕日升起,即正好出现在太阳升起之前时尼罗河三角洲就开始每年的泛滥。而且他们发现,天狼星两次偕日升起的时间间隔不是埃及历年的365天而是365.25天。天狼星是大犬座α,是全天最亮的星星。天狼星是由甲、乙两星组成的目视双星。甲星是全天第一亮星,属于主星序的蓝矮星。乙星一般称天狼伴星,是白矮星,质量比太阳稍大,而半径比地球还小,它的物质主要处于简并态,平均密度约3.8×106/立方厘米。天文学的基础知识(三) 什么是织女星?   织女星是天琴座中的一颗亮星,学名叫天琴座α。它是夏夜星空中最著名的亮星之一。平时,人们都叫它织女星。在西方,称为Vega。赤径18h47m,赤纬38度47分。织女星的直径是太阳直径的3.2倍,体积为太阳的33倍,质量为太阳2.6倍,表面温度为8900摄氏度,呈青白色。它是北半球天空中三颗最亮的恒星之一,距离地球大约26.5光年。在织女星的旁边,有四颗构成一个小菱形。传说这个小菱形是织女织布用的梭子,织女一边织布,一边抬头深情地望着银河东岸的牛郎(河鼓二)和她的两个儿子(河鼓一和河鼓三)。在1.3万多年以前,织女星曾经是北极星,由于地轴的进动,现在的北极星是小熊座a星。然而,再过1.2万年以后,织女星又将回到北极星的显赫位置上。现代天文观测表明,整个太阳系正以每秒19公里的速度向着织女星附近的方向奔去。织女星是天琴座最亮的恒星(天琴座α星),也是全天第五亮星,在大角星之后。在北半球的夏天,织女星多可在天顶附近的位置见到,由于织女星的视星等接近零,因此不少专业天文学家会以织女星来作光度测定的标准。织女星与位于天鹰座的河鼓二(牛郎星),及天鹅座的天津四,组成著名的“夏季大三角”。如果把它看作是一个直角三角形,那织女星便是构成直角的星星。  什么是牛郎星?   河鼓二即天鹰座α星,俗称“牛郎星”。在夏秋的夜晚它是天空中非常著名的亮,可红巨星的体积是如此之大,它的光度也变得很大,极为明亮。肉眼看到的最亮的星中,许多都是红巨星。  什么是红矮星?   在众多处于主序阶段的恒星当中,其大小及温度均相对较小和低,在光谱分类方面属于K或M型。它们在恒星中的数量较多,大多数红矮星的直径及质量均低于太阳的三分一,表面温度也低于3,500 K。释出的光也比太阳弱得多,有时更可低于太阳光度的万分之一。又由于内部的氢元素核聚变的速度缓慢,因此它们也拥有较长的寿命。红矮星的内部引力根本不足把氦元素聚合,也因此红矮星不可能膨胀成红巨星,而逐步收缩,直至氢气耗尽。也因为一颗红矮星的寿命可多达数百亿年,比宇宙的年龄还长,因此现时并没有任何垂死的红矮星。人们相信,宇宙众多恒星中,红矮星占了大多数,大约75%左右。例如离太阳最近的恒星,半人马座的南门二比邻星,便是一颗红矮星,其光谱分类为M5,视星等11.0。  什么是白矮星?   是一种低光度、高密度、高温度的恒星。因为它的颜色呈白色、体积比较矮小,因此被命名为白矮星。白矮星是一种很特殊的天体,它的体积小、亮度低,但质量大、密度极高。比如天狼星伴星(它是最早被发现的白矮星),体积比地球大不了多少,但质量却和太阳差不多!白矮星是一种晚期的恒星。根据现代恒星演化理论,白矮星是在红巨星的中心形成的。  什么是褐矮星?   是构成类似恒星,但质量不够大,不足以在核心点燃聚变反应的气态天体。其质量在恒星与行星之间。  什么叫黄道?    是在一年当中太阳在天球上的视路径,看起来它在群星之间移动的路径,太阳在地球上沿着黄道一年转一圈,为了确定位置的方便,人们把黄道划分成了十二等份(每份相当于30°),每份用邻近的一个星座命名,这些星座就称为黄道星座或黄道十二宫。这样,相当于把一年划分成了十二段,在每段时间里太阳进入一个星座。在西方,一个人出生时太阳正走到哪个星座,就说此人是这个星座的。  什么是白道?   是月球绕地球公转的轨道平面与天球相交的大圆。白道与黄道相交于两点。月球沿白道从黄道以南运动到黄道以北通过的那个交点称为升交点,与此相对的另一交点称为降交点。白道与黄道的交角在4°57′~5°19′之间变化,平均值约为 5°9′,变化周期约为173 天。由于太阳对月球的引力,两个交点的连线沿黄道与月球运行的相反方向向西移动,这种现象称为交点退行。交点每年移动19°21′,约18.6年完成一周。这一现象对地球的章动和潮汐起重要影响。  什么是星座?   星座的定义:星座是投影在天球上一块区域的天体空间的总合,因此,说某某星座在银河系以内/以外都是不准确的说法。星座是指天上一群群的恒星组合。在三维的宇宙中,这些恒星其实相互间没有实际的关系,不过其在天球这一个球壳面上的位置相近。自古以来,人对于恒星的排列和形状很感兴趣,并很自然地把一些位置相近的星联系起来,组成星座。一些星座是古代的,还有一些是现代的。一些星座如狮子座可以追溯到古埃及的法老时代。另外一些星座是1600年左右有两名荷兰旅行家 Pieter?Keyser 和 Frederik?de Houtman 命名的,这些星座主要分布在南半球。当时他们在作环球旅行,看到了在欧洲不曾 见过的星空,然后创造了一系列极具想象力的动物的名字给这些星座命名。一个多世纪后Nicolas de Lacaille 为了纪念一些在工业革命中发明的工具,把南天一些零散的星组成了 新的星座:熔炉座、唧筒座和显微镜座。当然,很早以前南半球的土著民对自己头顶的星空 也有自己想象的图案,那是他们的星座。  星座的来源?如何辨认星座?   星座起源于四大文明古国之一的古巴比伦,古代巴比伦人将天空分为许多区域,称为“星座”,不过那时星座的用处不多,被发现和命名的更少。黄道带上的12星座初开始就是用来计量时间的,而不像现在用来代表人的性格。在公元前1000年前后已提出30个星座。两河流域文化传到古希腊以后,公元2世纪,古希腊天文学家托勒密综合了当时的天文成就,编制了48个星座。希腊神话故事中的48个星座大都居于北方天空和赤道南北。16世纪麦哲伦环球航行时,不仅利用星座导航定向,而且还对星座进行了研究。1922年,国际天文学联合会大会决定将天空划分为88个星座,其名称基本依照历史上的名称。1928年,国际天文联合会正式公布了88个星座的名称。这88个星座分成3个天区,北半球29个,南半球47个,天赤道与黄道附近12个。人类肉眼可见的恒星有近六千颗,每颗均可归入唯一一个星座。每一个星座可以由其中亮星的构成的形状辨认出来。  中国如何分星座?   中国在观星上的成就要比西方早,中国人说三垣28宿,把天上星座分成三大块28类,而不是只有西方的12星座。其中最重要的就是紫微垣。中国的观星术,现在统称紫微星座,与西方的十二星座相区别。紫微星座共有十四主星,分别是紫微、天机、太阳、武曲、天同、廉贞、天府、太阴、贪狼、巨门、天相、天梁、七杀、破军。黄道有哪十二星座?   黄道星座大概是做著名的一组星座了。在西方传统中,黄道星座是环绕天球一整圈的 一组共12个星座。黄道十二星座包括:双鱼座、白羊座、金牛座、双子座、巨蟹座、狮子 座、室女座、天秤座、天蝎座、射手座、摩羯座和宝瓶座。英语中 Zodiac(黄道)一词来 自希腊语,意思是“动物的带”。黄道十二星座中大部分为动物,但双子、室女、天秤、宝 瓶都不是动物,而射手座通常也绘成半人半兽。黄道十二星座对天文学家和占星学家都是很有意义的。黄道星座十分著名就是引文太 阳、月球、和可见的行星都在这一区域内运行。天文学的基础知识(三) 88个星座的总名单?   对天文学家而言,星座更 像是国家的疆界。星座本身并不包含科学知识, 它们只是人为强制划出的边界。全天一共88个星座,星座是古人把天上的星星用假想的线连在一起想象成的形象。但地球是个球体,所以在北极点上永远看不到天赤道以南的星座,在南极点永远看不到天赤道以北的星座。换句话说,越靠近两极,能看到的星座就越少,在赤道上可以看到全部88个星座。星座的具体名字如下:仙女座、唧筒座、天燕座、宝瓶座、天鹰座、天坛座、白羊座、御夫座、牧夫座、雕具座、鹿豹座、巨蟹座、猎犬座、大犬座、小犬座、摩羯座、船底座、仙后座、半人马座、仙王座、鲸鱼座、堰蜓座、圆规座、天鸽座、后发座、南冕座、北冕座、乌鸦座、巨爵座、南十字座、天鹅座、海豚座、剑鱼座、天龙座、小马座、波江座、天炉座、双子座、天鹤座、武仙座、时钟座、长蛇座、水蛇座、印地安座、蝎虎座、狮子座、小狮座、天兔座、天秤座、豺狼座、天猫座、天琴座、山案座、显微镜座、麒麟座、苍蝇座、矩尺座、南极座、蛇夫座、猎户座、孔雀座、飞马座、英仙座、凤凰座、绘架座、双鱼座、南鱼座、船尾座、罗盘座、网罟座、天箭座、人马座、天蝎座、玉夫座、盾牌座、巨蛇座、六分仪座、金牛座、望远镜座、三角座、南三角座、杜鹃座、大熊座、小熊座、船帆座、室女座、飞鱼座、狐狸座。这个顺序是按照88个星座的英文名字首字母排列的。最后再说一句,现行的星座主要起源于古希腊神话,而希腊是看不到南天的部分星空的。因此北天的星座以希腊神话中的英雄、怪物等命名的较多,例如狮子座、猎户座等;而南半



病例详情

男性,77岁

1. 主诉:间断肩背部疼痛1年

术前诊断:

1. 主动脉弓部瘤;


术前CTA

图片
图片
图片

CTA显示,患者主动脉弓部瘤,瘤体起始于LCCA前缘,距IA后缘4mm(小弯侧),瘤体最大处直径67mm

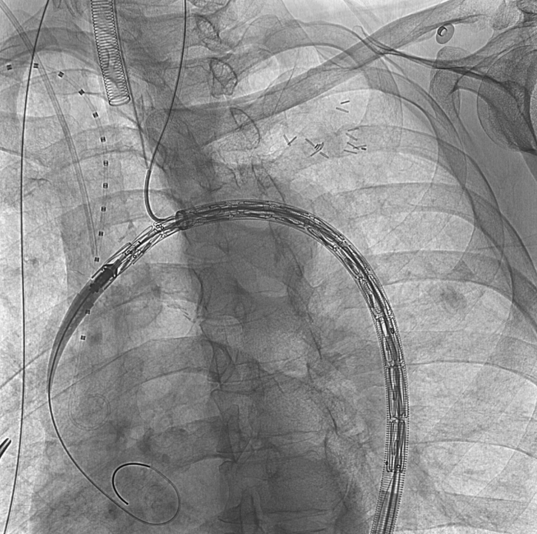
手术过程

图片

术前先完成LSA转流,术中DSA造影,明显可见弓部病变情况,巨大主动脉瘤近端累及LCCA

图片

建立通路,输送主体覆膜支架至弓部,内嵌开口对位LCCA

图片

释放主体支架并用分支支架重建LCCA后造影,贴壁良好,但由于瘤体过大且偏前侧,有少量I型漏出现

图片

覆使用弹簧圈填塞后再次确认,瘤体隔绝良好,无内漏,效果满意!

术后CTA

图片
图片

术后一周患者返院进行常规随访检查。CTA检查结果显示:植入支架与血管壁贴合良好,未见内漏征象。患者术前巨大动脉瘤瘤囊已完全血栓化,瘤腔内血流信号消失。

图片

术后一周随访时,患者转流切口愈合良好。小切口显著减少了手术创伤,促进患者的快速康复