中国企业互动平台
及新兴产业数据库

用户案例 | “心电一张网”救心之路在山区乡村砥砺前行

发布者:麦迪克斯
时间:2025-10-15
收藏
已收藏

 2025 年10⽉12⽇08:45一位“大喊疼痛、呻吟”患者到华溪镇小寨村卫生室就诊。追问:患者普某某、女、43岁,“剧烈上腹部、咽部疼痛75分钟”。

图片

    施晓萍乡村医生凭着多次参加胸痛救治单元、心电一张网的培训,快速接诊,按照培训要求“下颌以下、肚脐以上疼痛”都不能排除“急性心肌梗死”。立即开通胸痛救治绿色通道,结合心电一张网村卫生室配置的网络心电图机,08:48:08完成首份心电图,08:48:41上传至“华宁县心电一张网网络平台”,08:50完成远程心电诊断,综合考虑“急性广泛ST段抬高型心肌梗死可能”,08:52“危急值”报告村卫生室、同时胸痛中心通知“120”,08:54给予“阿司匹林肠溶片300mg,替格瑞洛片180mg,瑞舒伐他汀钙片20mg”心梗一包药口服。


    小寨卫生室距离胸痛中心30公里,因道路原因:常常堵路,有时需2小时车程才能到达胸痛中心。胸痛中心决定派遣120、开通道路绿色通道,选择到“村卫生室溶栓”再灌注策略胸痛救治。


图片


    期间乡医做好“心肌梗死溶栓预谈话、排外溶栓禁忌症筛查”。


图片


10:10时120到达村卫生室,患者仍“剧烈上腹部、咽部疼痛、全身出汗”。排外禁忌症,患者有溶栓指征,樊丰瑞120出诊医生签署溶栓相关医疗文书后,给予肝素化抗凝,于10:15给予“注射用重组人TNK组织型纤溶酶原激活剂”溶栓治疗,转运途中约30分钟后,患者上腹部、咽部疼痛明显缓解,考虑溶栓再通,绕行华宁县医院急诊科,11:02直达心血管内科,评估患者胸痛病情。


图片


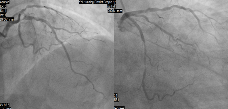
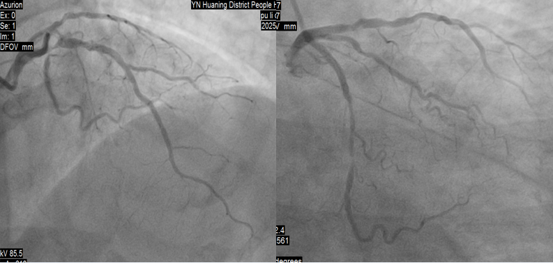
    虽然患者胸痛明显缓解,考虑到梗死面积大,于11:20送达导管室,冠脉造影示:均势型,右冠全程弥漫性病变,最狭窄处50%,中段囊性扩张,血流3级;左主干未见明显异常;前降支近段次全闭塞,血流3级;回旋支中段次全闭塞,血流3级。


图片


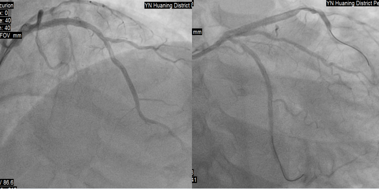
    造影显示溶栓再通,12:20完成前降支、回旋支PCI手术。


图片


    该患者如果没有胸痛救治单元建设、心电一张建设,胸痛救治进一步下沉至乡村,村、乡、县三级联动一体化胸痛救治模式,患者生命也许就此终止。


    华宁县属⼭区地貌,⼭路弯弯,进⾏困难。华宁县各级领导⾼度重视胸痛中⼼建设,于2020年第一批次顺利通过认证。华宁县共有五家卫生院,2021年全部顺利通过胸痛救治单元认证,成为云南省第一家全覆盖胸痛救治单元认证通过的县域。为实现救治前移、打通胸痛救治起跑第一公里,真正把胸痛救治从乡村开始落到实处。2023年7月26日启动了华宁县“心电一张网·心电诊断中心”建设,总投入500余万元,为75个村卫生室配置了网络心电图机,“心电一张网”建设已覆盖总院、5家卫生院及75家村卫生室、妇幼保健院,无偿出具心电图报告。为75个村卫生室配置了不同组合4包心梗一包药。


图片


    华宁县现住人口18万余人,目前胸痛救治单元溶栓超过100例,村卫生室溶栓2例。心电一张网卫生院完成远程心电图上传3万余人次,村卫生室完成1.2万余人次。乡村基层胸痛救治推广困难重重,随着胸痛救治单元、心电一张网建设深入推进,我们坚信,这是新的起点,是新的机遇、新的挑战,我们不忘胸痛救治使命,砥砺前行,会继续在山沟沟里搭起一座座“胸痛救治生命桥”,更好的为广大老百姓服务。


作者:赵旺祖

华宁县心电一张网医疗总监


图片