中国企业互动平台
及新兴产业数据库

耀海前沿 | 通过包涵体形成和荧光监测简化大肠杆菌中Aβ的表达与纯化

发布者:耀海生物
时间:2025-10-15
收藏
已收藏

图片

β-淀粉样蛋白(Amyloid-beta, Aβ)的重组生产因在细菌宿主中易聚集且具细胞毒性而面临挑战。2025年9月,有学者在Journal Of Microbiological Methods上发表题为“Streamlined E. coli expression and purification of amyloid beta peptides via inclusion body formation and fluorescence monitoring”的研究型文章。作者在本研究中,提出一种简化可重复的方法,用于在大肠杆菌BL21(DE3) pLysS中表达和纯化蛋氨酸修饰的Aβ40与Aβ42肽。该研究利用包涵体(Inclusion body, IB)形成特性提升产量并简化纯化,关键创新在于结合硫黄素-S(Thioflavin S, ThS)与碘化丙啶(Propidium iodide, PI)的实时荧光光谱及显微镜技术,实现对IB形成与表达动态的非侵入性监测。通过调节pH值、阴离子交换色谱及超滤完成纯化后,Aβ40、Aβ42的平均浓度分别达3.2±1.3mg/L、4.8±3.2mg/L,HPLC证实二者平均纯度分别为90.2%±0.8%、84.0%±17.4%。经光诱导化学交联方法、硫黄素-T(Thioflavin T, ThT)荧光测定及原代海马神经元毒性测试验证,所得肽段结构完整且具生物活性。该无标签、经济高效的平台为Aβ肽生产提供可扩展方案,可推动其在结构生物学、神经退行性疾病研究及高通量药物筛选中的应用。


01

一、引言




易聚集肽的重组生产面临表达、溶解及纯化挑战。酵母与哺乳动物系统虽具翻译后修饰优势,但成本高、表达量低。大肠杆菌因易操作、可扩展且产量高,仍是首选宿主,但其表达的易聚集肽易形成IB,引发细胞毒性并降低产量。Aβ肽是阿尔茨海默病关键成分,疏水相互作用强、聚集倾向高,重组表达难度大。现有方法通过蛋氨酸修饰促进IB形成以辅助纯化,但缺乏实时监测IB形成的手段,且依赖亲和色谱或酶切步骤,流程复杂。IB若管理得当可简化纯化,传统终点分析无法实时控制表达过程,而荧光技术可动态追踪IB形成。基于此作者开展该研究,提出在大肠杆菌BL21(DE3)pLysS中表达纯化蛋氨酸修饰Aβ40/42的简化方法,集成ThS/PI的实时荧光监测,结合生物物理及功能测定验证肽活性,旨在为易聚集肽生产提供高效方案。



02

二、Aβ肽在大肠杆菌BL21中的表达与荧光监测




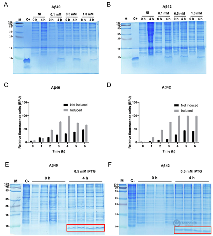
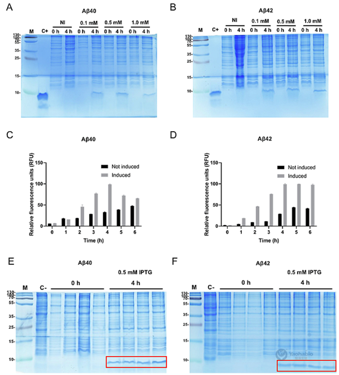
作者选用pET-Sac-Aβ(M1–40)与pET-Sac-Aβ(M1–42)质粒,因其编码蛋氨酸修饰形式的Aβ肽,有助于促进包涵体形成并简化下游纯化流程。该构建体此前已在细菌系统中验证可用于功能性Aβ表达,能够保证高产率与生物学相关性。研究采用热休克法将质粒转化至BL21(DE3) pLysS感受态大肠杆菌,转化菌株在含氨苄青霉素与氯霉素的LB琼脂平板上筛选获得阳性克隆。经聚合酶链式反应(Polymerase chain reaction, PCR)扩增与测序验证,确认转化菌中存在目标基因,其序列与参考序列完全一致。为优化Aβ肽的表达条件,作者比较了不同浓度异丙基-β-D-硫代半乳糖苷(Isopropyl β-D-1-Thiogalactopyranoside, IPTG)诱导4小时后的表达效果。SDS-PAGE分析显示,在预期分子量位置出现特异性条带,与合成Aβ肽对照一致,而未诱导对照组无相应条带。通过密度定量分析发现,0.5mM IPTG诱导下蛋白表达量最高,而在1.0mM时表达反而下降;其中Aβ40的表达差异达到统计学显著水平。因此,该研究确定0.5mM IPTG为最佳诱导浓度。诱导后的菌体经离心收集、超声破碎、裂解液重悬与离心步骤,获得沉淀用于后续纯化。该表达体系的成功建立为重组Aβ肽的制备提供了可靠平台。

图片


图1 人重组Aβ肽在大肠杆菌BL21(DE3)pLysS中的表达过程


作者还利用了ThS荧光染色法对大肠杆菌IB中Aβ肽的聚集行为进行了评估。通过建立Aβ40和Aβ42 IBs的激发与发射光谱,确保了检测的特异性,并可对比对照样品。时序分析显示,诱导4小时后荧光强度趋于稳定,表明肽表达达到平台期(图1C, D)。为促进ThS进入细胞,研究采用热休克法进行透化处理,以克服细菌膜完整性的限制。最后,在优化条件即0.5mM IPTG,诱导4h下,通过SDS-PAGE验证了该荧光检测结果,诱导样品中可见约4.6kDa的目标条带,而未诱导对照组无此条带(图1E, F),证实该荧光方法可有效监测Aβ肽的表达与聚集。





03

三、荧光显微镜证实大肠杆菌IB中的Aβ肽聚集


紧接着作者采用了荧光显微镜作为补充手段,在开展纯化前直接观察Aβ40与Aβ42肽在大肠杆菌中形成IB的情况。诱导4小时后,样品ThS/PI染色,其中ThS可穿透细菌膜并特异性结合具有β-片层结构的Aβ聚集体。在诱导菌体内可见绿色ThS荧光信号,多集中于细胞两极,表明IB内存在β-片层构象的Aβ聚集体;而未诱导细菌仅呈现微弱的背景荧光。为清晰区分细胞结构,作者同时使用PI对细菌DNA进行红色荧光复染,合并图像可明确分辨绿色IB与红色染色体(图2A, C)。进一步细胞计数分析显示,诱导组中ThS阳性细胞数与PI阳性细胞数无显著差异,而非诱导组ThS阳性细胞比例极低,具体为Aβ40与Aβ42均p<0.0001(图2B, D)。该结果证实ThS染色能特异、可靠地标识表达Aβ肽的细菌,为IB形成提供了直观的形态学证据。

图片

图2 含有Aβ肽的包涵体荧光显微镜图像



04

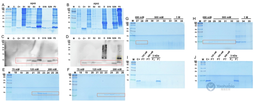
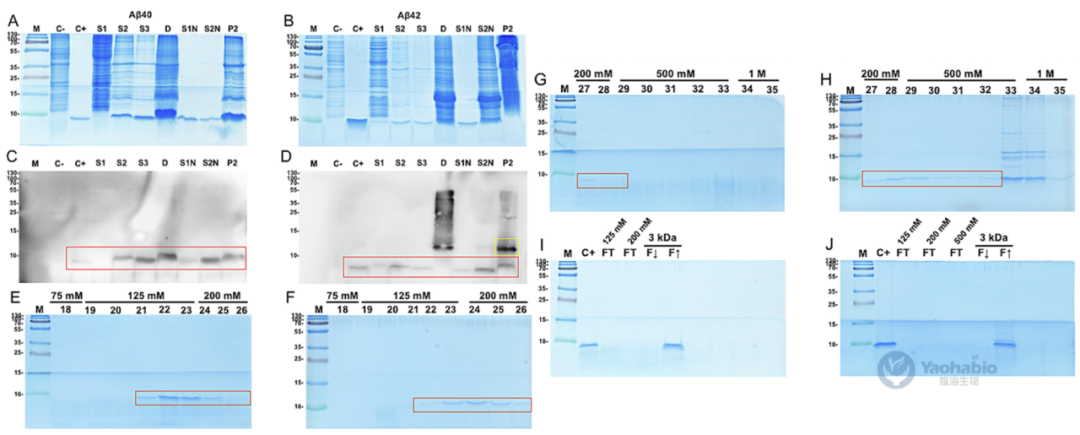
四、Aβ肽的高效纯化



完成上述评估和监测之后,作者进一步建立了从大肠杆菌IB中高效纯化重组Aβ40和Aβ42肽的方案。首先是通过离心收集菌体,经裂解缓冲液重悬后,进行多轮超声破碎与离心以分离IB。SDS-PAGE显示随裂解循环推进,目标条带强度逐渐增加(图3A, B)。为提高回收率,引入第二轮变性-中和步骤,显著提升产量。Western Blot采用6E10单克隆抗体进行验证,在预期位置检出特异性条带,确认肽身份(图3C, D);部分样品中出现的额外条带可能为寡聚体。后续使用阴离子交换色谱进一步去除杂质,在125、200及500 mM NaCl洗脱组分中获得高纯度肽(图3E–H)。脱盐与超滤浓缩后,SDS-PAGE证实目标肽被有效保留且无损失(图3I, J)。

图片

图3人重组Aβ肽的纯化


纯度与浓度通过紫外分光光度法及SDS-PAGE共同评估,五批次独立制备显示Aβ40平均产量为3.2±1.3mg/L,纯度达90.2%±0.8%;Aβ42平均产量为4.8±3.2mg/L,纯度为84.0%±17.4%,其较高变异度反映其易聚集特性。HPLC分析进一步确认重组肽与合成标准品保留时间一致,验证了产物的同一性与高纯度(图4A–D),为后续聚集行为及神经毒性研究奠定了基础。

图片

图4 通过HPLC测定人重组Aβ肽的纯度



05

五、重组人Aβ肽保留其聚集和细胞毒性潜力



为了评估重组Aβ肽的聚集特性,作者采用了光诱导化学交联方法进行了分析。该技术可在RuBpy试剂存在下经短暂光照快速诱导Aβ40与Aβ42形成≥10 kDa的交联产物,提示二聚体及三聚体的生成(图5A, B)。进一步利用ThT荧光光谱监测β-片层结构形成动力学,结果显示聚集过程呈现典型的三相模式:成核期、延伸期及平台期(图5C, D)。研究表明,肽浓度越高,聚集进程越快,最终荧光强度也越高,说明重组Aβ具备显著的自组装倾向。

图片

图5 重组Aβ肽的聚集能力和细胞毒性评估结果


文章的最后,作者评估了重组Aβ肽对原代大鼠海马神经元培养12天的神经毒性作用。将神经元暴露于浓度递增的Aβ40与Aβ42(12.5-75 μM)24小时后,细胞活力呈浓度依赖性下降,且在75 μM时出现统计学显著降低(图5E, F)。为模拟阿尔茨海默病脑中淀粉样蛋白组成,作者测试了Aβ42与Aβ40比例为3:7的混合肽。结果显示,该混合肽处理引起的细胞活力下降显著高于单一肽处理,表明Aβ40与Aβ42具有协同增强神经毒性的效应。



结语

本研究建立了一种基于大肠杆菌IB的简化、无标签重组Aβ肽生产平台。该策略利用蛋氨酸修饰形式促进肽的定向聚集,并通过集成ThS/PI双色荧光显微技术,实现了对包涵体形成的实时、动态监测,有效克服了传统终点检测的局限性。纯化流程通过优化裂解、变性-中和、阴离子交换色谱及超滤等步骤,最终获得高纯度产物,其产量与基于融合标签的策略相当,但在操作复杂性和成本方面更具优势。进一步的功能分析证实,所获重组肽保留了其固有的淀粉样蛋白聚集特性,能够通过典型的三相动力学形成寡聚体与原纤维,并表现出对原代海马神经元的浓度依赖性神经毒性,尤其在模拟阿尔兹海默症脑内淀粉样蛋白组成的Aβ42:Aβ40混合比例下毒性协同增强。该平台为Aβ肽的相关研究提供了理化性质可靠、生物活性确凿的材料基础,在药物筛选、毒性机制解析及生物标志物开发等领域具有广泛应用前景。


图片

耀海生物,作为一家专业领先的微生物表达体系合同研发与生产组织(CRDMO)服务提供商,致力于为广大客户提供专业、高效的生物技术服务。公司专注于以大肠杆菌和酵母菌表达体系,开展一系列生物制药的发酵、纯化、制剂工艺开发和生产的一站式外包服务我们的服务范围涵盖了多肽药物、重组蛋白药物、病毒样颗粒(VLP)、质粒DNA、纳米抗体等多种生物药的开发与生产。


此外,耀海生物还提供科研级别的mRNA、CircRNA和SaRNA等前沿技术的定制服务,以满足不断发展的生物科研和制药需求。我们以严格的质量管理体系、先进的实验设施和丰富的行业经验,确保为客户提供高品质的产品和一站式解决方案,助力客户在生物医药领域的创新与发展。


(如需相关CRDMO服务,请随时联系199 5298 1076)


图片


参考文献

[1] David S, Salazar D, Puente Cantillo P, et al. Streamlined E. coli expression and purification of amyloid beta peptides via inclusion body formation and fluorescence monitoring. J Microbiol Methods. 2025 Sep; 236:107182.