中国企业互动平台
及新兴产业数据库

当高危基因SDHB现身,所有谜团迎刃而解——“一例腹膜后副神经节瘤的深度解码” | 整合式病理诊断实战第五十一期

发布者:华银健康
时间:2025-10-15
收藏
已收藏

当高危基因SDHB现身,所有谜团迎刃而解——“一例腹膜后副神经节瘤的深度解码” | 整合式病理诊断实战第五十一期



“整合式”

病理诊断实战


“整合式”病理诊断实战平台开通了!华银康特检及孵化事业平台联合病理学科发展中心重磅推出此疑难病例分享平台,在这里将为各位老师分享临床疑难病例的病理、临床、分子诊断、治疗原则等方面内容,为解决临床疑难问题提供新的视角,助力于“以患者为中心”服务理念的全面落地!

第五十一期

当高危基因SDHB现身,所有谜团迎刃而解——“一例腹膜后副神经节瘤的深度解码”

一张妇科肿瘤的“面具”,一颗神经内分泌的“内核”。

当一个盆腔巨大肿物出现在17岁少女体内,所有线索都指向“生殖细胞肿瘤”时,手术刀下的发现却让所有人大吃一惊——它竟来源于深邃的腹膜后。然而,真正的“惊雷”来自于基因测序报告:一个与恶性行为密切相关的SDHB胚系突变赫然在列。

这个发现不仅解释了肿瘤的来源,更揭示了它为何会选择这位年轻的患者,并预示了其桀骜不驯的生物学天性。

这究竟是一个怎样的肿瘤?是临床表现的“伪装者”,还是遗传谱系中的“高危分子”?欢迎来到第五十一期“整合式病理诊断实战”,我们将一同拨开迷雾,看临床、病理形态学和分子生物学如何联手,撕开伪装,最终锁定这例罕见肿瘤的真实身份及其遗传宿命。

本期看点

图片

形态学“金标准”:重温在神经内分泌肿瘤中,如何通过经典的“细胞巢”(Zellballen)结构,为肿瘤的诊断“一锤定音”。

分子检测“新视角”:当临床无特异性症状时,一个高风险的SDHB胚系突变如何为肿瘤精准“画像”,揭示其遗传背景和潜在的恶性“天性”。

整合诊断“大智慧”:当诊断明确后,为何一份基因报告能将诊疗视野从“一人一病”扩展到“一人一家族”的终身健康管理,真正实现精准医疗的深远价值。


图片

病例详情

临床挑战

年轻患者的盆腔“巨物”,手术刀该如何探查?一个更深层次的谜团是:为何一个年仅17岁的健康少女会患如此罕见的肿瘤?这背后是否存在强大的遗传易感因素?这个问题,是手术刀和影像设备无法回答的。

  • 患者信息:女,17岁。

  • 病情概述:发现腹部包块1月,外院彩超及MRI提示盆腔巨大肿块(约10cm),高度怀疑右侧附件来源的生殖细胞肿瘤

  • 影像学关键点:盆腔内巨大占位,边界清晰,初步诊断方向直指妇科肿瘤。

  • 诊疗困境:对于一位年轻女性,盆腔巨大肿瘤首先考虑妇科来源是常规思路。然而,肿瘤来源的不确定性给手术方案带来了巨大挑战。是常规的妇科肿瘤切除?还是需要更广泛的探查?一个精准的术中判断和术后诊断,不仅关系到治疗的彻底性,更深刻影响着患者未来的生育功能与生活质量。


层层深入:

从形态“验明正身”到基因“追根溯源”

1. 病理诊断:一场围绕经典“细胞巢”的识别

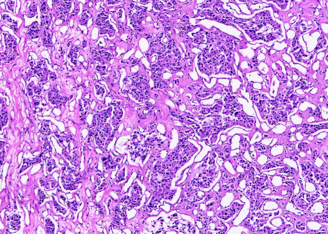
  • 术中及术后镜下形态 (H&E):肿瘤细胞呈特征性的巢状(Zellballen)或腺泡状排列。细胞巢由两种成分构成:中央是胞浆丰富、嗜酸性颗粒状、核染色质呈“椒盐样”的多边形主细胞;周边则围绕着不明显的梭形支持细胞。细胞巢之间是极为丰富的血窦网络。第一印象:形态学高度指向副神经节瘤。

  • 关键证据的捕获:这种经典的“Zellballen”结构,是病理医生脑海中诊断副神经节瘤的“警铃”。它与最初怀疑的生殖细胞肿瘤或其他腹膜后肿瘤(如平滑肌肉瘤、脂肪肉瘤)的形态截然不同。

  • 病理初步结论:(腹膜后)副神经节瘤。

  • 诊断解读:诊断的核心,在于识别这种教科书般的组织学结构。它就像肿瘤的“指纹”,具有高度特异性。至此,病理形态学已经彻底扭转了临床的初步诊断方向,为这个“巨物”验明了正身。

图片

图1. H&E染色清晰显示副神经节瘤经典的“细胞巢”(Zellballen)结构

2. 免疫组化:为两种细胞成分“点亮”身份

为了精准验证形态学判断,我们补充了免疫组化(IHC)检测。

主要结果:

  • 神经内分泌标记 Syn(+), CgA(+) 在主细胞中呈强阳性,证实其神经内分泌来源。

  • S-100(+) 完美地勾勒出细胞巢周边的支持细胞网络。

  • Ki-67 增殖指数约2%,提示肿瘤增殖活性低。

  • CK(-), EMA(-), Desmin(-) 等排除了上皮、间叶来源肿瘤。

图片

图2.免疫组化结果

IHC解读:如果说H&E形态是画出了轮廓,那么免疫组化就是填上了色彩。Syn/CgA染红了“主细胞”,S-100染亮了“支持细胞”,这种“红花配绿叶”般的双重染色模式,为副神经节瘤的诊断提供了不可辩驳的证据。

3. 分子检测:揭开肿瘤隐匿的“遗传密码”

为了探究其内在驱动机制及评估预后,我们启动了二代测序(NGS)。

核心发现:NGS检测发现 SDHB c.423+1G>T 剪接位点突变,突变丰度高达71.08%。经外周血样本验证,该突变为杂合性胚系突变

分子解读:这个结果是本病例的“惊天逆转”和“深度解码”。SDHB是与遗传性副神经节瘤/嗜铬细胞瘤综合征相关的最重要的高风险基因。其胚系突变意味着:

  • 高恶性潜能:与散发或其他基因突变类型相比,SDHB突变相关的肿瘤更易发生转移。

  • 遗传性疾病:这不仅仅是患者个体的疾病,更是一个家族性遗传综合征的“警报”。

  • 发病原因:完美解释了为何患者在17岁的花样年华便罹患此罕见肿瘤。


最终整合诊断:锁定胜局

综合形态学、免疫组化及分子生物学信息,我们给出了最终诊断:

(腹膜后)副神经节瘤,伴SDHB胚系突变。


讨论:从精准诊断到深度思辨

价值一:形态学是诊断的“压舱石”

本病例再次强调,无论临床和影像学表现多么具有迷惑性,经典的病理形态学永远是诊断的基石。对“Zellballen”结构的精准识别,是避免误诊、走向正确方向的第一步[1]

价值二:分子检测是从“定性”到“定性+预后评估”的飞跃

当形态学完成“是什么”(副神经节瘤)的判断后,分子检测回答了“有多‘凶’?”和“从哪来?”。识别出SDHB胚系突变,将一个看似孤立的肿瘤事件,转变为对一个具有高转移风险的遗传性疾病的管理[2]

价值三:深度聚焦——SDHB突变,一份需要终身解读的“健康说明书”

本病例最核心的价值,在于揭示了SDHB突变的重大临床意义。它不再是一个陌生的基因符号,而是:

  • 预后“指示器”:提示医生和患者,必须采取更积极、更长期的随访策略,警惕肿瘤的复发和远处转移(如肺、骨、肝)[3]

  • 家族“预警灯”:启动遗传咨询和家系筛查,让患者的直系亲属有机会通过早期基因检测和定期体检,实现对潜在肿瘤的早发现、早干预。

价值四:一份完美的整合式报告,如何指导临床?

这份最终诊断报告,为临床医生提供了清晰的行动路线图:

  • 肿瘤性质?腹膜后副神经节瘤,非妇科肿瘤。

  • 生物学行为?具有高恶性潜能,需视为恶性肿瘤进行管理[4]

  • 治疗决策?手术切除是基础,但术后需终身、多学科(内分泌、影像、肿瘤内科)联合随访监测。

  • 内在根源?遗传性SDHB突变,需立即启动患者的遗传咨询和家族成员的筛查。


小结

形态为基,基因为钥,家系为本

  • 诊断之基:在形态多样的肿瘤世界里,严谨的病理形态学评估是辨别真伪、确立诊断的根本。

  • 发现之钥:分子检测是打开肿瘤“遗传黑匣子”的关键,它能揭示肿瘤的内在驱动力、评估其生物学“天性”。

  • 管理之本:当检测到致病性胚系突变时,诊断和管理的视野必须从患者个体扩展至整个家系,这才是整合诊断“以患者为中心”的最终体现和医学人文精神的延伸。

一个融合了形态、起源、遗传背景和预后风险的整合诊断,才能真正为这位年轻患者和她的家庭,铺就一条最清晰、最长远的精准健康管理之路。

全面的病理检查和准确的分子分型是遗传性肿瘤精准诊疗的基础,华银康集团特检平台基于权威指南共识中对于分子病理检测的推荐,为广大遗传性肿瘤患者提供推荐检测项目,以指导肿瘤诊疗。

参考文献

[1]Okubo Y, Yoshioka E, Suzuki M, et al. Diagnosis, Pathological Findings, and Clinical Management of Gangliocytic Paraganglioma: A Systematic Review [J]. Front Oncol. 2018 Jul 27;8:291.

[2]Rijken JA, Niemeijer ND, Jonker MA, et al. The penetrance of paraganglioma and pheochromocytoma in SDHB germline mutation carriers[J]. Clin Genet. 2018 Jan;93(1):60-66.

[3]Pasini B, Stratakis CA. SDH mutations in tumorigenesis and inherited endocrine tumours: lesson from the phaeochromocytoma-paraganglioma syndromes[J]. J Intern Med. 2009 Jul;266(1):19-42.

[4]Taïeb D, Nölting S, Perrier ND, et al. Management of phaeochromocytoma and paraganglioma in patients with germline SDHB pathogenic variants: an international expert Consensus statement [J]. Nat Rev Endocrinol. 2024 Mar;20(3):168-184.