中国企业互动平台
及新兴产业数据库

刚韧随心|温医大附二院吴连拼教授团队冲破困局,顺利完成高难度一站式经导管二尖瓣、三尖瓣联合钳夹术一例,助力患者重获“心”生

发布者:臻亿医疗
时间:2025-10-06
收藏
已收藏

2025浙南心血管会议期间,温州医科大学附属第二医院吴连拼教授团队携手多学科团队展开紧密协作,顺利完成高难度一站式经导管二三尖瓣联合钳夹术一例。该患者高危高龄,系典型Barlow综合征,重度二三尖瓣反流,极富挑战。术中,团队凭借丰富经验与精准操作,先后植入国产创新器械令二三尖瓣反流降至微量,介入效果理想。此例一站式高难度介入治疗成功开展,不仅彰显团队的卓越实力,也为国产创新器械在复杂心疾治疗中的应用提供宝贵经验,进一步推动我国心血管疾病治疗技术发展。

图片


患者基本情况

患者85岁男性,主诉“胸闷4月余”入院,入院诊断为二尖瓣脱垂、二尖瓣重度反流、心房颤动、Ⅱ度房室传导阻滞、右侧颈内动脉斑块、右侧大隐静脉曲张伴瓣膜功能不全、胸腔积液、前列腺结石、前列腺增生、肝囊肿、单纯性肾囊肿。

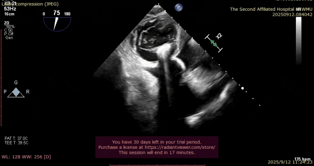
心脏超声示左室增大,二尖瓣2、3区脱垂伴重度反流(腱索断裂),Carpentier分型Ⅱ型,典型Barlow综合征表现;二尖瓣开放面积5.0cm²,3区瓣环内径31mm,前叶长22mm、后叶17mm,前叶收缩期关闭瓣体部分呈拱形突向左房腔,瓣膜游离缘对合欠佳,可见腱索断裂,长度9mm;2区瓣环内径32mm,前叶长22mm、后叶10mm,前后叶均可脱垂;三尖瓣重度反流。CDFI示瓣口重度偏心性反流,反流束沿主动脉后壁走行,肺静脉收缩期可见反向频谱。

手术策略
综合上述术前评估结果,患者二尖瓣、三尖瓣重度反流合并心功能不全,二尖瓣2区、3区瓣叶大面积脱垂,伴腱索断裂,属偏红区Barlow病变。手术团队商讨后一致决定开展经导管二三尖瓣联合钳夹术,优先处理二尖瓣反流,从内到外依次植入2-3枚NeoNova® C6夹合器,在保证瓣口面积的情况下,最大程度夹持瓣叶组织以有效解决反流。术中需注意防止腱索缠绕,有必要可将夹合器延展至“一字型”状态。
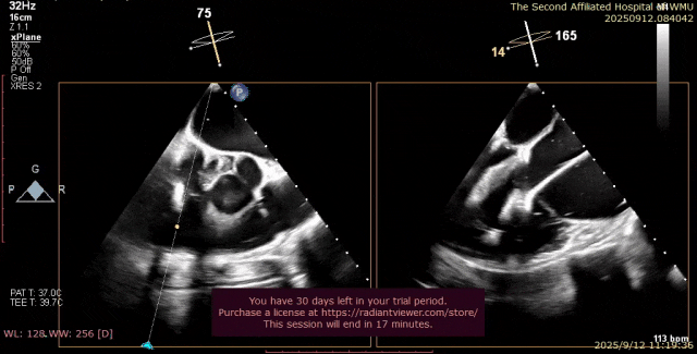
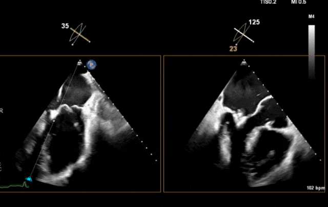
术前超声
图片
图片

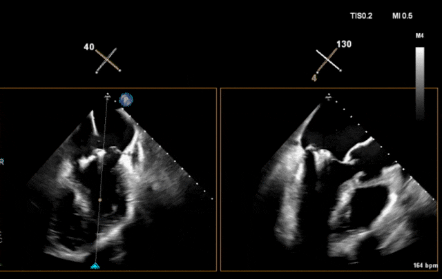
术前瓣叶

图片
图片

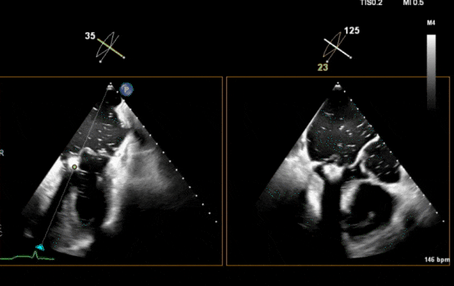
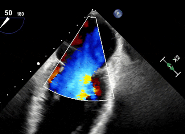
术前反流

图片
图片

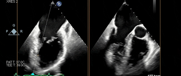
术前3D

手术过程


在超声指导下顺利穿刺房间隔,沿输送系统将NeoNova® C6夹合器送至左房,调整夹合器位置和orientation后进行跨瓣。经确认将C6送达3区,操作捕获瓣叶,确认前后瓣叶充分捕捉后夹闭C6。

图片
图片

第一枚夹合器夹闭&解离


依据术前策略,将第二枚NeoNova® C6夹合器送至第一枚C6外侧,使两枚夹合器临近,夹闭第二枚C6后超声示两枚夹合器紧邻,组织桥稳定,跨瓣压差2mmHg;但外侧仍残余反流、脱垂,因此决定植入第三枚夹合器。

图片

第二枚夹合器位置

图片
图片
图片

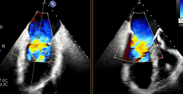
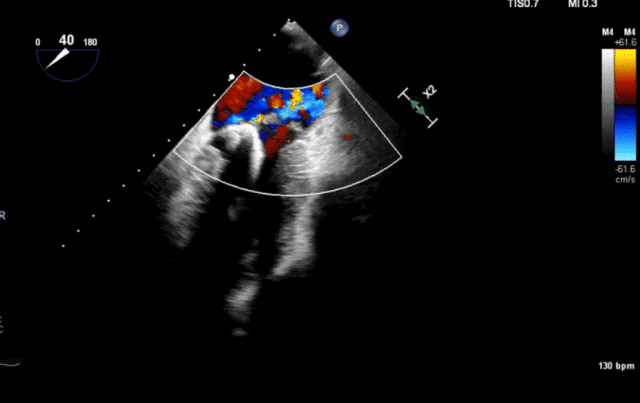
第二枚夹合器夹闭后超声

紧接着,术者将第三NeoNova® C6送至稍外侧位置并操作瓣叶夹合,超声示外侧残余反流、脱垂,推测瓣叶夹持量欠佳;重新捕获瓣叶后,超声示残余反流明显减少,组织桥稳定,最终成功紧贴前两枚夹合器于2偏1区位置解离第三枚C6。心脏彩超示二尖瓣轻度反流,反流程度由5+降至1+,术后即刻跨瓣压差5mmHg。

图片

第三枚夹合器跨瓣

图片
图片

第三枚夹合器第一次捕获瓣叶,夹持量欠佳

图片
图片
图片
图片

第三枚夹合器第二次捕获瓣叶,夹持量显著增加,反流明显减少


接下来术者着手干预三尖瓣,三尖瓣夹合器送入右心房后,术者调整系统轴向使夹合器指向三尖瓣,夹合器顺利跨越三尖瓣。


图片
图片

夹合器跨瓣

夹合器跨瓣后,术者精细调整夹合器位置,打开、回拉夹合器捕获三尖瓣前叶和隔叶,超声示前叶、隔叶受限,三尖瓣残余反流1+,考虑到患者合并肺动脉高压,残留部分反流能降低肺动脉高压加重风险,故完全释放夹合器,复查超声示三尖瓣夹合器稳定性良好,手术圆满成功!


图片
图片

捕获前叶和隔叶


图片
图片

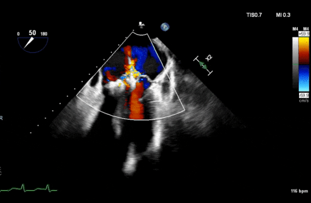
夹合器夹闭后超声

图片

夹合器完全释放后超声



总结
1.jpg
术后吴连拼教授指出,Barlow综合征属红区病变,此类患者行TEER手术成功率低、风险高,如履荆棘。面对二尖瓣多瓣区脱垂,需在保障瓣口面积与血流动力学稳定下,最大程度夹持瓣叶以有效解决反流。此次手术的成功意义深远,于个体,可免老年体弱患者二次全麻侵入性手术之苦,重注“心”活力;于社会,一站式二三尖瓣联合手术可降成本、惠及更多患者。展望未来,二三尖瓣联合病变治疗难题亟待解决,创新之路任重道远。非常期待联合多学科探索创新应用,优化方案、积累经验,为患者谋福祉,推动心血管治疗技术再上新阶。



NeoNova®独创设计

星耀二尖瓣治疗新航向






图片
  • 中国首款“一字型”二尖瓣夹

    避免腱索缠绕

  • 中国首款“弹性自锁”二尖瓣夹

    柔韧适中 自动适应瓣叶强度

  • 中国首款“小半径调弯”二尖瓣夹

    降低房间隔穿刺高度要求

  • 中国首款提供“10mm”尺寸二尖瓣夹

    降低多夹放置率




关于NeoNova®






NeoNova®经导管二尖瓣夹系统,由臻亿医疗全资子公司杭州端佑医疗科技出品、远大医药进行推广。今年2月获国家药品监督管理局批准上市,3月获国家C码,并已于全国全面开展临床植入。



专家简介

图片

吴连拼 教授

温州医科大学附属第二医院

温州医科大学附属第二医院 心内科 博士 主任医师  博士研究生导师

副书记 温医大二院心内科学科带头人 

浙江省高层次人才培养计划领军人才 温州名医

浙江省—爱尔兰心脏瓣膜疾病精准诊疗实验室主任

温州市泛血管病重点实验室主任

浙江省医师协会心血管医师专科分会副会长

浙江省数理医学会心血管介入诊疗专业委员会主任委员

中国心胸麻醉学会基层心血管专业委员会副主任委员

浙江中西医结合委员会心血管专业委员会副主任委员

浙江卒中协会心血管专业委员会副主任委员

中国心胸麻醉学会基础与转化专业委员会常委

中国研究型医院协会心力衰竭专委会常委

中华医学会浙江省心血管专业委员会常委

中华医学会浙江省介入心血管专业委员会常委

浙江省心血管学会常务理事

中华医学会浙江省心血管专业委员会心血管影像学组组长

中华医学会温州心血管专业委员会副主任委员

日本宫崎大学、美国vanderbilt大学访问学者

第一或通讯作者发表学术论文50余篇,其中SCI论文40篇

获浙江省科技进步奖二等奖一项,浙江省医药科技创新奖两项,中国中医药协会科技进步二等奖1项

主持国自然、省级课题多项,主编人卫版专著两部、参编考译专著两部

擅长于心血管疾病的诊治。作为PI参加十五项药物临床研究(涵盖1,2,3,4期药物临床研究)

“浙江好人”、“温州道德模范”、“中国心血管菁英奖(临床技术类)”、“浙江医政先进个人奖”等奖项获得者

图片

张新民

温州医科大学附属第二医院

心内科科室副主任,医学博士

副主任医师,硕士研究生导师

浙江省医学会心血管分会青年委员

中华医学会温州心血管分会青年委员

温州心身医学分会双心学组成员

国家住院医师规范化培训重点专业基地专科导师

参与多项国家级、省部级课题,主持厅局级课题三项,国内外发表学术论文10余篇,多次在国家级心血管会议做病例报告。


图片

吴道珠

温州医科大学附属第二医院

超声科主任助理,副主任医师,规培教学主任

浙江省数理医学会心脏大血管学组副主任

浙江省超声工程协会心超学组常务委员

浙江省医学会心超学组委员

温州医学会委员

曾年在德国阿莎芬堡医院进修胎儿心脏,擅长胎儿心脏疾病诊断、小儿先天性心脏病及成人心脏疾病诊断。

图片

刘咏芳

温州医科大学附属第二医院

超声科副主任医师

华中科技大学同济医科大学心内科硕士

浙江省超声医学工程学会心脏

专委学会委员

主要从事结构瓣膜病、成人,小儿及胎儿心脏超声的检查,至今在国内外期刊发表论文十余篇,主持温州市课题一项,另参与多项课题研究。