中国产业数据库及企业互动平台

破局·精准·首植·新章 | 闪渊®全国首植成功,开启精准栓塞治疗全新篇章!

发布者:科睿驰医疗
时间:2025-09-11
收藏
已收藏

随着科睿驰闪渊®TraSphere®均一粒径可视化栓塞微球在国内正式迈入商业化阶段,浙江省肿瘤医院肿瘤介入诊治中心成功应用闪渊® TraSphere®完成全国首例植入,为中国HCC精准栓塞治疗开启全新篇章。

闪渊®TraSphere®科睿驰医疗自主研发的可视化栓塞微球,同时也是全球首款均一粒径可视化仿生核壳栓塞微球,产品上市前,开展FIM研究1,证实了其应用于肝癌栓塞治疗具有良好的安全性、疗效及可视化性能。闪渊®TraSphere®专为HCC精准栓塞治疗设计,通过可视化栓塞介入,精准辅助术中栓塞材料分布,指引术后贯序治疗决策,为HCC的精准栓塞治疗提供安全有效的解决方案。  

2.jpg




✧    

病例简介


基本资料

男性,62岁。肝脏原发性肿瘤,BCLC-B期(CNLC-Ⅱa期),此次治疗肿瘤直径5cm,肿瘤位于肝左叶第Ⅱ、Ⅲ段。拟行DEB-TACE治疗。



手术过程

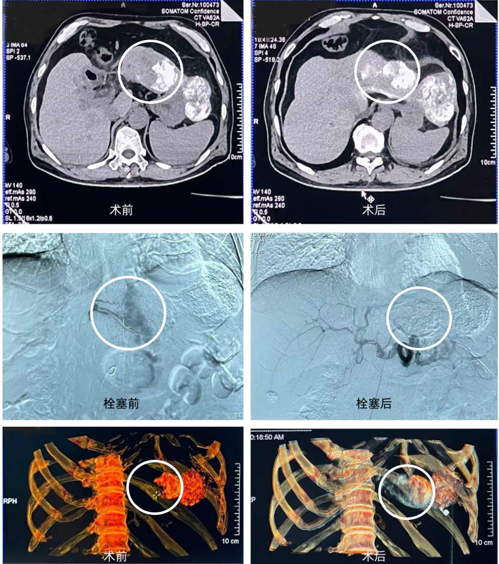
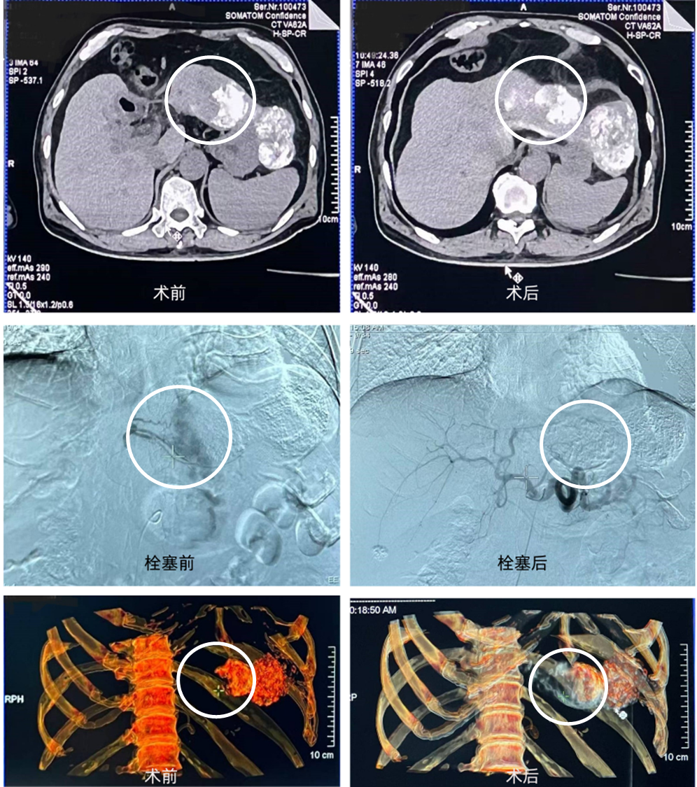
常规消毒铺巾,穿刺、置鞘,送入造影导管及2.2F微导管,造影确认肿瘤供血动脉。以闪渊聚乙烯醇栓塞微球(110µm)加载表柔比星,约3min完成药物加载。按体积比1:10将造影剂加入微球/药物混合液中,载药微球悬浮良好。在DSA影像下,将载药微球悬浮液以脉冲方式(1mL/min)注入目标血管。术后影像显示,栓塞良好。



影像资料

影像图对比.png


✧   

术后反馈



闪渊®TraSphere®均一粒径可视化栓塞微球载药迅速,悬浮性良好,术中推注顺畅,优于同类产品。与非均一粒径微球相比,对末梢血管的栓塞效果更优,且在达到栓塞终点时,用量更少。微球在DSA及CBCT下显影清晰,可用于术中判断是否出现异位栓塞并及时调整,对避免过量栓塞、假性栓塞,并完成栓塞边际具有较大的意义。期待更多临床应用,进一步探讨其优势与更多应用场景。



闪渊®TraSphere®均一粒径可视化栓塞微球在全国首例商业植入中表现卓越,凭借优异的效果获得临床专家的高度赞誉。闪渊®TraSphere®均一粒径可视化栓塞微球的临床应用填补了我国可视化栓塞微球领域的技术空白,为恶性肿瘤患者提供了革命性的治疗新选择。未来随着产品应用普及、循证经验积累,有望造福更多患者





闪渊®TraSphere®均一粒径可视化栓塞微球

1、HCHI专利技术2,富集更多碘显影基团,稳定持久显影。支持DSA,CBCT等多模态显影,为ssTACE序贯外科切除等治疗提供清晰的靶区导航

2、均一粒径可显影微球,提升肿瘤供血动脉末梢栓塞能力

3、可加载药物种类更多,方便根据疾病选择更合理的药物

4、核壳结构,提升载药速度,最快可实现1分钟加载99%药物,缩短手术时间,提高手术效率

5、药物释放稳定,避免“暴释”,发挥持久抗肿瘤效果

6、五种粒径(110/160/250/350/450µm),四种装量(0.5/1/2/3ml),共20种型号规格,全面满足不同场景栓塞治疗需求

1754622940204_闪渊外盒(透底)(2).png



术团队


微信图片_20250910164655_463_33.png

郑家平 教授

浙江省肿瘤医院&中科院杭州医学所

向上滑动阅览

主任医师&医学博士,介入治疗科科室负责人

温州医科大学研究生导师,浙江中医药大学 兼职教授,英国盖伊-圣托马斯医院 高级访问学者

  • 国家肿瘤微创联盟中西医结合专委会 副主委

  • 中国抗癌协会加速康复肿瘤外科专委会 委员

  • 浙江省抗癌协会放射性粒子治疗专委会 副主委

  • 浙江省医学会介入医学专委会 常委 

  • 浙江省抗癌协会肿瘤消融专委会 常委兼肺消融学组组长

  • 浙江省医师协会介入医师协会 委员

  • 肿瘤介入创新技术及器材研发浙江省工程研究中心 副主任

  • 肿瘤学杂志 第六届编委

  • 浙江省医学会&杭州市医学会 医学鉴定专家库 成员

  • 浙江省医药卫生科技项目 验收专家










仲.png

仲斌演 教授

浙江省肿瘤医院

向上滑动阅览

肿瘤介入诊治中心办公室主任

主治医师,特聘研究员,医学博士,约翰霍普金斯大学联合培养博士


  • 中国医师协会介入医师分会综合介入专家工作组委员、中国抗癌协会肿瘤组织间植入专委会委员

  • 主持/获批国家自然科学基金面上项目等课题7项

  • 以第一/通讯作者(含共同)发表Lancet Gastroenterol Hepatol(2篇)、Radiology等SCI论文50余篇(不含letter等)

  • 《肝细胞癌经动脉化疗栓塞抵抗及后续治疗专家共识》、《中国肝细胞癌经动脉化疗栓塞(TACE)治疗临床实践指南(2023年版)》等7部指南共识第一或主要执笔人

  • CCI 2023“介入新锐”

  • BMJ、Chest、Euro Radiol、Int J Surg、JVIR、CVIR等三十余SCI杂志审稿人

  • 2021年华夏医学科技奖三等奖(2/9)、2020年江苏省新技术引进奖二等奖(1/3)