中国产业数据库及企业互动平台

知识心天地 | 高龄贫血合并肾功能不全患者PCI治疗病例分享

发布者:蓝帆医疗
时间:2025-09-29
收藏
已收藏

● 病例介绍

女性,78岁。主诉:胸闷、气紧9月,加重1周。


现病史:

9月前,患者因“上腹不适1周,加重伴呕血、黑便半天”于我院消化科住院,考虑“急性下壁心肌梗死” ,急诊行冠状动脉造影检查,提示三支血管严重病变,行右冠药物球囊治疗。出院后患者快步走仍有胸闷、气紧发作,休息后自行缓解,一周前休息时反复发作胸痛,故再次入院。


既往史:

高血压、糖尿病病史,长期药物治疗。无吸烟史。


入院诊断:

冠心病-缺血性心肌病、不稳定型心绞痛;

高血压3级(极高危);

2型糖尿病;

慢性肾功能不全(eGFR 19.93ml/min);

高钾血症

贫血(HGB 85g/L);

高尿酸血症


患者特点:

高龄、贫血、既往消化道出血病史,伴有严重肾病,符合ARC-HBR判定标准中的两项主要标准和两项次要标准,判断属出血高危人群。


图片


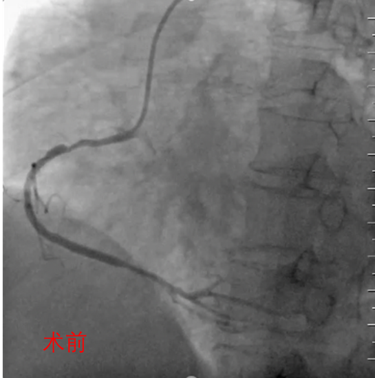
● 冠脉造影

造影提示:

•RCA近中段长病变,最重狭窄85%,远段斑块狭窄50%;

•LAD可见钙化影,中段斑块狭窄60%:

•对角支开口斑块狭窄50%,前向血流TIMI 3级; 

•LCX中段斑块狭窄85%,前向血流TIMI 3级。


图片
图片
图片


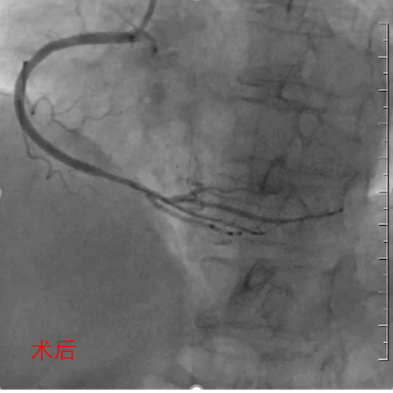
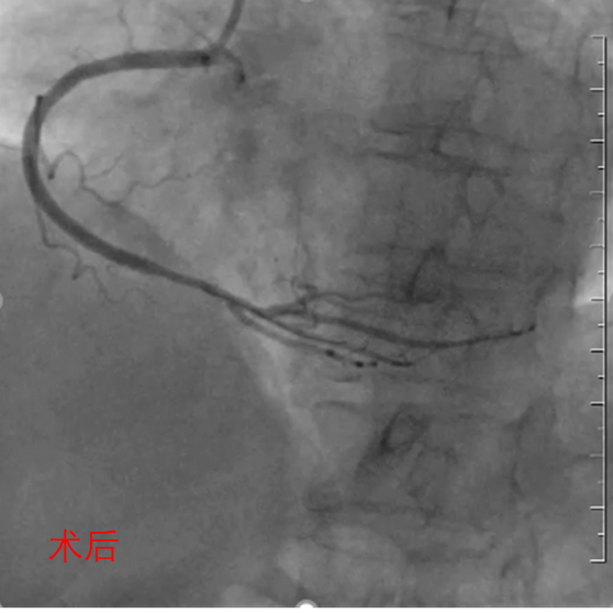
● 手术策略

患者目前长期服用吲哚布芬单抗,入院检查发现严重贫血,既往有消化道出血病史,同时伴有肾功能不全。为降低术后出血风险,决定选择能缩短术后双抗时间的无聚合物BA9药物支架BioFreedom®进行植入。


手术过程:

•本次治疗先处理RCA,择期处理LCX;

•先送2.5*15mm预扩球囊至RCA病变处预扩张,造影示狭窄明显减轻,未见明显夹层、造影剂外渗等;

•送1枚2.5*18mm BioFreedom®支架至病变处后定位释放(10atm3s),再送2.512mm NC球囊至支架内由远及近后扩张(14-16atm*3s) ;

•经多体位造影示支架扩张良好,TIMI血流3级。


术后用药:

术后症状消失,出院时予吲哚布芬和氯吡格雷双联抗血小板治疗用药,1个月后门诊随访时调整为吲哚布芬长期单抗。


病例小结:

•慢性肾病患者由于对抗栓药物的清除减弱,属于出血高危的判定标准(eGFR<30mL/min作为HBR判定的主要标准)。LEADERS FREE研究中共计入组了近500例慢性肾病的患者,及530多例既往PCI的患者。该研究结论证实了HBR患者采用BioFreedom®支架结合1个月DAPT的方案的安全性和有效性;

•BioFreedom®支架已获得欧盟CE、日本PMDA、中国NMPA及美国FDA四大机构的认证,是包括慢性肾病、贫血、高龄、既往出血史等类型的HBR患者在内的需要短DAPT场景的合适选择。