中国产业数据库及企业互动平台

吃太多碳水易发胖?

发布者:至善医疗
时间:2025-09-25
收藏
已收藏

如今,高糖饮食引发的肥胖及代谢综合征已成为全球关注的重大健康问题。过量摄入碳水化合物不仅会导致体重增加,还可能引发胰岛素抵抗、脂肪肝等一系列代谢紊乱,对人体健康构成严重威胁。


近期,发表在Sci Rep上的一项研究Lactiplantibacillus plantarum dfa1 reduces obesity caused by a high carbohydrate diet by modulating inflammation and gut microbiota,深入探究了植物乳杆菌dfa1(Lp dfa1)在改善高碳水化合物饮食诱导的肥胖及相关代谢异常方面的作用。


图片


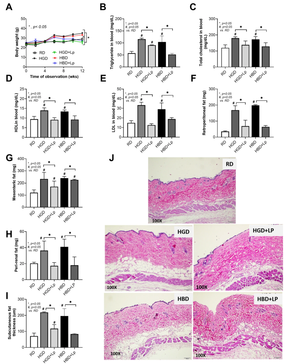
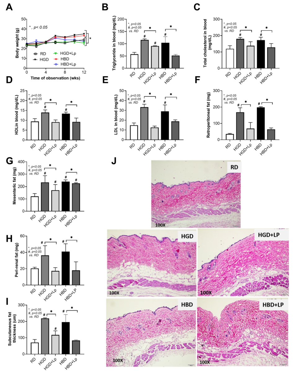
该研究以小鼠为实验对象,设置了常规饮食组(RD)、高葡萄糖饮食组(HGD)、高葡萄糖饮食+Lp dfa1组(HGD + Lp)、高碳水化合物饼干饮食组(HBD,含菠萝纤维)以及高碳水化合物饼干饮食+Lp dfa1组(HBD + Lp),通过12周的干预,评估了Lp dfa1对肥胖指标、糖尿病前期标志物、肠道健康及肝脏健康的影响。


研究结果显示,HGD和HBD均会导致小鼠出现类似的肥胖及代谢异常。在肥胖指标方面,两组小鼠体重显著增加,血清甘油三酯、总胆固醇等脂质指标异常,内脏及皮下脂肪沉积增多;糖尿病前期标志物检测发现,两组小鼠空腹血糖、胰岛素水平升高,胰岛素抵抗指数(HOMA-IR)上升,口服葡萄糖耐量试验(OGTT)结果异常;肠道健康方面,两组小鼠均存在肠道屏障损伤,肠道通透性增加(FITC-葡聚糖检测),血清内毒素(LPS)水平升高,血清中促炎细胞因子(IL-6、TNF-α)水平上升,抗炎细胞因子IL-10水平也有相应变化,提示肠道炎症反应加剧;肝脏健康同样受损,肝脏内葡萄糖、脂肪成分堆积,氧化应激标志物(MDA)水平升高,抗氧化物质(GSH)减少,肝功能酶(ALT)活性增强,肝脏组织出现病理损伤。


图片图 1:不同饮食干预对代谢和炎症反应的影响


补充Lp dfa1后,上述不良状况得到显著改善。在肥胖及代谢指标上,小鼠体重增长放缓,脂质谱恢复正常,脂肪沉积减少,血糖及胰岛素水平下降,胰岛素敏感性提高;肠道屏障功能增强,肠道通透性降低,血清内毒素及炎症因子水平回落,粪便中短链脂肪酸(乙酸、丁酸、丙酸)含量增加,这些脂肪酸对维持肠道健康、调节代谢具有重要作用;肝脏的氧化应激状态得到缓解,组织损伤减轻,各项功能指标趋于正常。


图片图 2:不同饮食条件下小鼠的肥胖相关结果


值得注意的是,HGD和HBD对小鼠肠道菌群的影响存在差异,但Lp dfa1均能通过调节肠道菌群发挥有益作用。HGD组小鼠肠道内拟杆菌门减少,梭菌属增加;HBD组则表现为拟杆菌门降低,厚壁菌门/拟杆菌门比值升高,放线菌门及双歧杆菌属增加。补充Lp dfa1后,HGD组的厚壁菌门/拟杆菌门比值上升,梭菌属减少,乳杆菌属增加;HBD组中拟杆菌门、疣微菌门及Akkermansia菌属等有益菌丰度提高,厚壁菌门/拟杆菌门比值下降。尤其值得一提的是,Lp dfa1仅在HBD组中显著提升了具有抗肥胖作用的Akkermansia菌属的丰度,表明其在不同饮食背景下可能通过不同的菌群调节机制发挥作用。


图片图 3:常规饮食、高葡萄糖饮食、高碳水化合物饼干饮食(添加或不添加植物乳杆菌dfa1)小鼠肠道菌群组成的分类学变化


体外实验进一步证实了Lp dfa1的保护机制。在Caco-2肠上皮细胞模型中,高葡萄糖与LPS联合作用会导致细胞通透性增加(TEER降低),紧密连接蛋白occludin表达减少,炎症因子(NF-κB、TNF-α等)释放增加,而Lp dfa1的上清液可逆转这些变化,增强肠道屏障功能并抑制炎症反应;在HepG2肝细胞模型中,高葡萄糖与LPS共同诱导的炎症反应(TNF-α、IL-6升高)也能被Lp dfa1上清液缓解,表明其具有直接的细胞保护作用。


总的来说,植物乳杆菌dfa1能够通过调节肠道菌群及直接的抗炎、保护细胞作用,有效改善高碳水化合物饮食诱导的肥胖及代谢异常,且与高纤维饮食(如含菠萝纤维的饼干饮食)联合使用时可能通过协同作用增强效果。这一研究为利用益生菌预防和改善饮食相关代谢疾病提供了支持,提示我们在日常生活中,合理补充类似Lp dfa1的益生菌,结合高纤维饮食,或许能更好地抵御高糖饮食带来的健康风险,维护身体的代谢平衡与健康。


参考文献:

Ondee T, Pongpirul K, Wongsaroj L, Senaprom S, Wattanaphansak S, Leelahavanichkul A. Lactiplantibacillus plantarum dfa1 reduces obesity caused by a high carbohydrate diet by modulating inflammation and gut microbiota. Sci Rep. 2025;15(1):24801. Published 2025 Jul 10. doi:10.1038/s41598-025-10435-x


本文仅用于学术分享,转载请注明出处。若有侵权,请联系删除或修改!
图片