联系我们
回到顶部

粤北首台 “零射线绿色DragonFly™”,纯超声守护二尖瓣健康

发布者:德晋医疗
时间:2025-09-24
收藏
已收藏

近日,清远市人民医院张小勇教授、段鹏教授团队,协同超声科吴丽文教授、朱海峰教授,在中山大学孙逸仙纪念医院陈样新教授、邓冰清教授的协助下,应用中国首个“中国+欧盟”双认证的创新原研DragonFly™经导管二尖瓣夹系统(以下简称DragonFly™),成功完成院内首台“纯超声引导下”的经导管二尖瓣缘对缘修复术(TEER),救治了一名重度二尖瓣反流的患者。

本次手术全程在超声引导下完成,实现了真正意义上的“绿色”TEER。团队配合默契、技术精湛,为患者和医护人员提供了更安全、更友好的治疗选择,树立了行业新标杆。

张小勇教授强调:“超声引导介入技术的兴起,正为我国结构性心脏病领域的发展注入新动能。这一从传统放射线到纯超声引导的转变,不仅是技术手段的更迭,更是底层逻辑的革新和方法学体系的重塑。展望未来,仍需业界同仁齐心协力,加速推动结构性心脏病介入治疗迈向“无射线”时代,为患者提供更安全、更优质的医疗服务。”


病例简介

患者为41岁男性,心脏彩超提示:二尖瓣P2脱垂合并房性机制,左心扩大、瓣环扩张,反流主要来源于2区。反流宽度:20mm,2区瓣叶长度:2.2/1.3cm,AP径:43mm,瓣口面积:6.0cm²。

手术难点

1.脱垂宽度宽,可能需采用多夹策略;

2.房间隔穿刺高度3.5cm,术中可能需在肌部进行穿刺。

对应策略

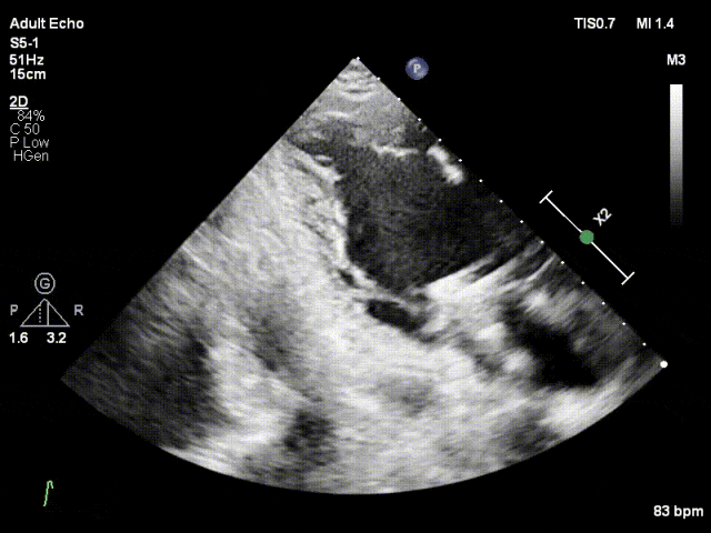
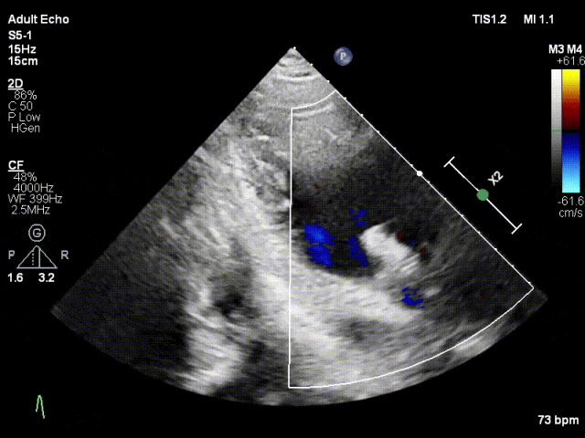
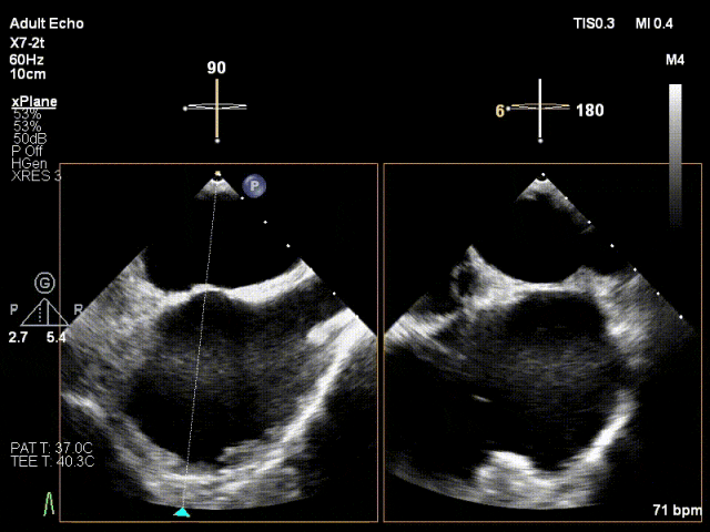
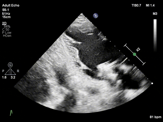
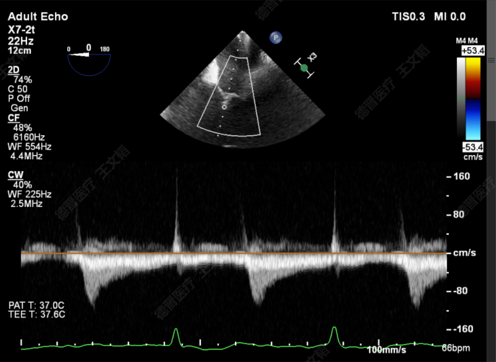
术前张小勇教授、段鹏教授团队与陈样新教授、邓冰清教授经充分沟通及分析,决定术中在2区植入一枚长宽(XW0612)型号DragonFly™二尖瓣夹,夹闭后评估残余脱垂及反流决定是否置入第二枚夹子。术中房间隔穿刺高度3.5cm,于2区植入一枚长宽(XW0612)夹,术中患者经食道超声影像质量差,进入瓣下后无法看清前后叶,采用经食道超声结合经胸超声进行瓣叶捕获,术后反流降至轻度,跨瓣压差1mmHg,肺静脉逆流消失。

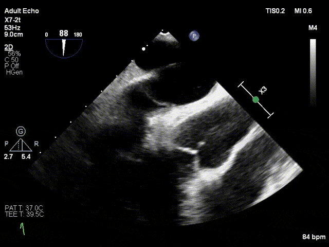
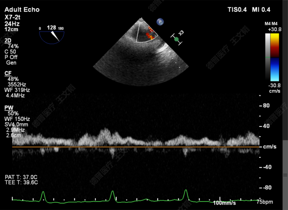
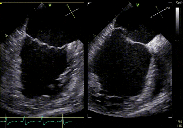
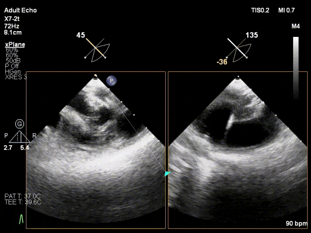
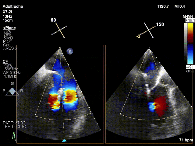
术前

X-plane 2区

X-plane 2区彩色

3D

3D彩色

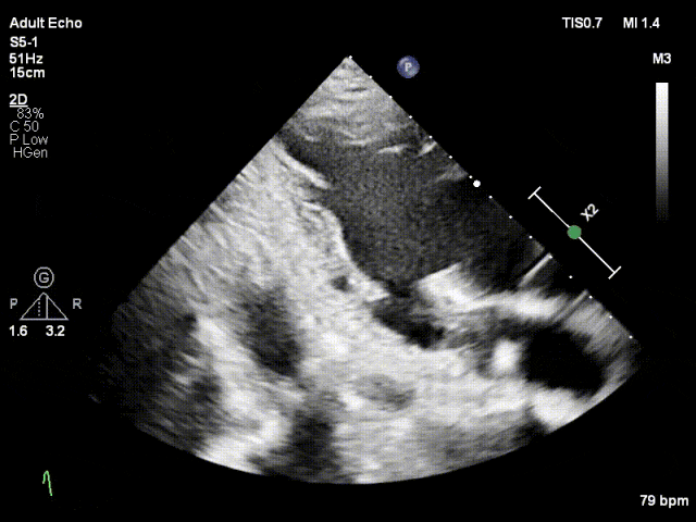
术中

房间隔穿刺高度3mm

交换超硬导丝至左上肺静脉


导引鞘置入左房

于2区置入一枚长宽(XW0612)夹

TTE下捕捞瓣叶

瓣叶捕获,Bouncing明显

缓慢关闭夹合角度至30°

TTE上彩评估无明显反流

关闭瓣膜夹

L侧残余微量功能性反流

TMPG:1mmHg

肺静脉逆流消失




DragonFly™

经导管二尖瓣夹系统


全球首创 独家性能

自由角度锁定功能·全刻度化操控系统

破“非松即紧”困局

铸“得心应手”精器


国产突破 双重认证

CE-MDR欧盟新规·NMPA国家药监局

国内唯一「双认证」原研TEER器械

国际标准铸就品质保障


临床实证 惠民之选

DMR五年随访·FMR一年佳效

国内唯一「双临床数据支撑」原研TEER器械

帮助逾千名患者重获'心'生